Plaksız, Sağlıklı Dişler ve Ağız Hijyeni için Öneriler

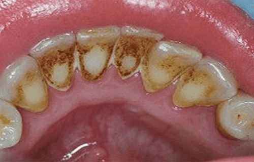
Sağlıklı dişler ve ağız hijyeni önünde en büyük engellerden biri plak birikimidir. Plak, yediğiniz yemek artıkları diş yüzeyinin içinde ve dışında biriktiğinde oluşur.
Bu diş sorunu ağız kokusuna sebep olabilir, ancak aynı zamanda birikim sertleşip dişinizin üzerinde kireçlendiği zaman diğer kanama ve diş eti hastalıklarına yol açarak başka sorunların gelişimini de tetikleyebilir.
Plak birikimini önlemeye ilişkin kesin bir çözüm olmamasına rağmen, ağzınızda birikip ileri boyutlara taşınma ihtimalini azaltmak için evde deneyebileceğiniz yöntemler var.
Daha fazlasını öğrenmek istiyor musunuz? Öyleyse okumaya devam edin.
Ayrıca bakınız: Dişlerinizi Doğal Bir Şekilde Beyazlatan 10 Yiyecek
Sağlıklı Dişler İçin Tavsiyeler
Plaktan kurtulmak için yapabileceğiniz en iyi şey diş fırçalama şeklinizi değiştirmektir.
Çoğu insan, dişlerini yatay olarak soldan sağa fırçalar oysa bu tarz fırçalama diş hassasiyetini artırır ve plağı dişlerin arasına daha derin bir şekilde sıkıştırır.
Bunun yerine, dişlerinizi yukarıdan aşağıya dikey olarak fırçalayın ve her zaman dairesel hareketler uygulayın.
Fırçaladıktan sonra dişler arasındaki birikintiden tamamen kurtulmak için diş ipi kullanmayı ihmal etmeyin.
İşiniz bittiğinde bir ağız yıkama suyu ile ağzınızı çalkalayın ve ayrıca fırçanın içine takılmış yemek artıklarını temizlemek için de fırçanızı iyice yıkamayı unutmayın.
Not: diş fırçanızı senede en az dört kez değiştirmeyi ve florürlü bir diş macunu kullanmayı ihmal etmeyin.
Beslenmenizi değiştirin
Dengeli beslenmek daha sağlıklı dişler için anahtardır.
Şeker ve karbonhidratlı yiyeceklerden mümkün olduğu kadar uzak kalın ve meşrubat tüketmemeye çalışın. Bu tür içecekleri tüketirken dişlerinize doğrudan değmesi için pipet kullanmaya çalışın.
Rafine undan yapılmış yiyecekleri çok fazla tüketmemeye özen gösterin ve bakteriyel enfeksiyona yakalanmamak için sonrasında dişlerinizi mutlaka fırçalayın.
Sağlıklı dişler ve doğru ağız hijyeni için tamamlayıcı tavsiyeler
Doğal tedaviler çürük diş ve plak gibi sorunlarla mücadelede bazen çok etkili olabilir, ancak dişinize yarardan çok zarar vermek istemiyorsanız aşırıya kaçmamalısınız.
Plakla mücadelenize yardımcı olacak ve genel olarak dişlerinizi daha sağlıklı yapacak doğal tedavilerin bazıları şöyledir:
Sakız çiğnemek
Kısmen tartışmalı olsa da, yakın zamanlı bir çalışma şekersiz sakız çiğnemenin diş üzerinde plak oluşumunu azalttığını göstermiştir.
Siz de her yemekten sonra bir sakız çiğneyerek yemek artıklarının serbest kalmasını sağlayın ve ardından dişinizi fırçalayarak artıklardan tamamen kurtulun.
Ayrıca bakınız: Tamamen Doğal Bir Malzeme ile Dişlerinizi Beyazlatın
Karbonat
Dişlerinizi fırçalarken diş macununuza çok az miktarda karbonat ekleyin.
Karbonat diş yüzeyinden yemek artıklarını serbest bırakır. Ayrıca dişlerinizi önemli ölçüde beyazlatır. Bunu haftada bir kez yatmadan önce deneyebilirsiniz.
Çok az karbonat kullanmanız gerektiğini unutmayın.
Limon
Limon suyu plak ve tartarla savaşmak için en iyi yöntemlerden biridir. Limonun asiditesi aşındırıcı olup ağzınızın derinlemesine temizlenmesine yardımcı olur. Ayrıca limon dişlerinizi parlatıp beyazlamasına yardımcı olur ve ağız kokusunu ortadan kaldırır.
Plak birikimini yavaş yavaş azaltmak için yalnızca haftada bir kez kullanın. Fazla kullanıldığında tam tersi etki yapacağından aşırıya kaçmamaya özen gösterin.
Unutmayın!
Temizlik, beyazlatma ve daha sağlıklı dişlere sahip olmanın birkaç yöntemi olmasına rağmen sağlıklı dişler için yapabileceğiniz en iyi şey düzenli olarak her 6 ayda bir dişçinizi ziyaret etmektir.
Bu rahatsız edici ve zararlı plak problemini tamamen ortadan kaldırmak için profesyonel temizlikten daha iyisi yoktur.
Tüm alıntı yapılan kaynaklar, kalitelerini, güvenilirliklerini, güncelliklerini ve geçerliliklerini sağlamak için ekibimiz tarafından derinlemesine incelendi. Bu makalenin bibliyografisi güvenilir ve akademik veya bilimsel doğruluğa sahip olarak kabul edildi.
- Chetruş, V., & Ion, I. R. (2013). Dental plaque–classification, formation and identification. International Journal of Medical Dentistry, 3(2), 139-143. https://www.ijmd.ro/articole/306_306_6%20chetrus.pdf
- PPoyato Ferrera, M. M., Segura-Egea, J. J., Ríos-Santos, J. V., & Bullon, P. (2001). La placa bacteriana: Conceptos básicos para el higienista bucodental. Periodoncia, 11 (2), 149-164. https://idus.us.es/xmlui/handle/11441/39214
- Rosan, B., & Lamont, R. J. (2000). Dental plaque formation. Microbes and infection, 2(13), 1599-1607. https://www.sciencedirect.com/science/article/abs/pii/S1286457900013162
- Touger-Decker, R., & Van Loveren, C. (2003). Sugars and dental caries. The American journal of clinical nutrition, 78(4), 881S-892S. https://academic.oup.com/ajcn/article/78/4/881S/4690063
- Putt, M. S., Milleman, K. R., Ghassemi, A., Vorwerk, L. M., Hooper, W. J., Soparkar, P. M., … & Proskin, H. M. (2008). Enhancement of plaque removal efficacy by tooth brushing with baking soda dentifrices: results of five clinical studies. Journal of Clinical Dentistry, 19(4), 111. https://www.researchgate.net/profile/Mark_Putt/publication/24193167_Enhancement_of_plaque_removal_efficacy_by_tooth_brushing_with_baking_soda_dentifrices_Results_of_five_clinical_studies/links/555b610608ae6aea0816bf4d.pdf
Bu metin yalnızca bilgilendirme amaçlı sunulmuştur ve bir profesyonelle görüşmeyi yerine geçmez. Şüpheleriniz varsa, uzmanınıza danışın.