Bir Diş Enfeksiyonuna İşaret Eden 7 Semptom


tarafından incelendi ve onaylandı. fizyoterapist Sofía Quintana Alonso
Dişleriniz, yiyecek artıkları, bakteriler, tükürük ve diğer tür bileşenler ile sürekli temas halindedir. Bu gibi durumlar her an sağlığınızı etkileyebilir ya da diş enfeksiyonuna neden olabilirler.
Diyet ile hijyen uygulamalarınız, ağzınızı temiz ve sağlıklı tutmanıza yardımcı olur. Ancak bazen ağzınızdaki ortam değişir. Bu, dikkatli olmanız gereken enfeksiyonlara neden olur.
Bu enfeksiyonlar hafif ya da şiddetli olabilir. Aslında, bazı durumlarda, tüm vücudunuzun sağlığı için tehlike yaratırlar.
En endişe verici olan şey, eğer zamanında ilgilenmezseniz, bunların ciddi ağrılara ve hatta dişlerinizin tamamen kaybına neden olabilmesidir.
Bundan dolayı, en önemli şey enfeksiyon belirtilerini bilmektir. Her şeyden önce, bir problemi tanımladığınızda profesyonel yardım alın.
Çok dikkatli davranın!
Diş Enfeksiyonunun Belirtileri
1. Ağız kokusu

Halitoz, diş enfeksiyonunun en belirgin semptomlarından biridir.
Bu çok fazla bakteri çeşidinden kaynaklanır. Özellikle fırçanızın ulaşamadığı alanlar ve yiyecek kalıntıları için geçerlidir.
Genellikle ağız hijyeni ürünleri ile kontrol edilir. Bununla birlikte, enfeksiyondan kurtulana kadar sürekli olarak tekrar ortaya çıkacaktır.
Enfeksiyon varlığını şu belirtilerden gösterebilir:
- Dişeti iltihabı
- Boşluklar
- Diş apsesi
- Bakteriyel tartar
- Tükürüğünüzdeki değişiklikler
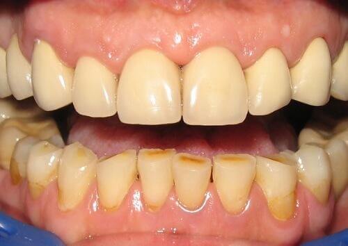
2. Diş minelerinin aşınması
Diş enfeksiyonunuz olduğunda, ağzınızdaki bakteriler asit üretir. Bu asit, dişlerinizi koruyan diş minelerini aşındırır.
- Bu maddeler kaba dokulu bir plakada birikmektedir. Bu, bazı gıda kalıntıları ile birlikte dişte sarı lekelere neden olur.
- Enfeksiyonu kontrol edememek, dişinizin ciddi şekilde zayıflamasına neden olabilir. Bu dişinizin yoğunluğu azaltabilir ve dişleriniz kırılabilir.
3. Çene ve diş ağrısı

Çene ve dişlerinizde sürekli veya aralıklı bir ağrı hissi de bir enfeksiyon sinyali olabilir. Periodontal hastalıkların ya da diş enfeksiyonlarının gelişimini işaret ediyor olabilir.
- Genel olarak, bunlar dişlerde oluşan plak birikimi ile ilgilidir.
- Bakterilerin büyümesini kolaylaştıran besin artıkları ile ilgili de olabilir.
Bu belirtiye diş hekimi tarafından bakılmalıdır. Bu, çeşitli ağız hastalıklarından ya da yaralanmalardan kaynaklı olabilir.
4. Diş etlerindeki kanama
Diş etlerini etkileyen bir tür yaralanma ya da enfeksiyon olduğunda diş etlerinde kanama görülür.
- Dişlerinizi fırçalarken ya da diş ipi kullanırken bir süre kanama görmek normaldir. Bazı yiyecekleri yediğinizde de bunu fark edebilirsiniz. Ancak, sık sık bu oluyorsa, dişlerinizi bir kontrol ettirmeniz gerekir.
- Başlıca nedeni dişlerinizde plak oluşturan toksinlerdir.
5. Enflamasyon ve kızarıklık

Kaviteler içeren periodontal enfeksiyon, diş eti iltihabına ve kızarıklığa neden olur. Bu neredeyse her zaman acı vericidir.
- Bunla hızlı bir şekilde ilgilenmek, komplikasyonları önlemek için önemlidir. Bunun nedeni şişliğin çene kemiğine yayılabilme olasılığıdır.
6. Gevşek dişler
Gevşek dişler hissetmek, bir dişçiye görünmek için yeterli bir sebepten daha fazlasıdır.
- Bu, bir diş enfeksiyonunun ilerlemesini gösterir. Aynı zamanda dişlerinizi destekleyen kemik yapısının erozyona uğradığını söyler.
- Zaman içinde gingivitis ile ilgilenmediğinizde bunun gerçekleşmesi normaldir. Bu daha sonra periodontite dönüşebilir.
- Bu hastalık etkilenen bölgedeki dişleri hareket ettirebilir. Ciddi durumlarda, kemik bozulmasına neden olur.
7. İrin

Diş etlerinizdeki irin görünümü, potansiyel periodontal hastalıklara karşı sizi uyaran bir işarettir.
Bu, enfeksiyona neden olan patojenik bakterilerin saldırısına karşı bir bağışıklık sisteminin cevabıdır.
- Başlangıçta, bazı “kese oluşumlarına” neden olabilirler. Bu keselere apse denir ve içlerinde kan ve irin bulunur.
- Bu karmaşık, bulaşıcı bir süreçtir ve bir profesyonel tarafından tedavi edilmelidir. Bunun nedeni, zaman içinde tedavi edilmezse, geri dönüşü olmayan hasara neden olabilir.
- Enfeksiyon alveoler kemiğinizi yok etmeye başlayabilir. Bu, dişlerini destekleyen kemiktir.
Önemli!
Dişleriniz ya da diş etlerinizdeki herhangi şüpheli bir enfeksiyon ya da hastalık bir profesyonel tarafından incelenmelidir. Bu sorunlar hızla başka sorunlara neden olabilir.
Ağzınızdaki enfeksiyonlar, kan dolaşımınız yoluyla diğer önemli organları etkilemeye de başlayabilir. Bu yüzden onlara uygun tedaviyi vermek önemlidir.
Herhangi bir diş enfeksiyonunun riskini azaltmak için, iyi bir ağız hijyenine sahip olmak önemlidir. Ayrıca diş hekiminizi düzenli olarak görmelisiniz.
Dişleriniz, yiyecek artıkları, bakteriler, tükürük ve diğer tür bileşenler ile sürekli temas halindedir. Bu gibi durumlar her an sağlığınızı etkileyebilir ya da diş enfeksiyonuna neden olabilirler.
Diyet ile hijyen uygulamalarınız, ağzınızı temiz ve sağlıklı tutmanıza yardımcı olur. Ancak bazen ağzınızdaki ortam değişir. Bu, dikkatli olmanız gereken enfeksiyonlara neden olur.
Bu enfeksiyonlar hafif ya da şiddetli olabilir. Aslında, bazı durumlarda, tüm vücudunuzun sağlığı için tehlike yaratırlar.
En endişe verici olan şey, eğer zamanında ilgilenmezseniz, bunların ciddi ağrılara ve hatta dişlerinizin tamamen kaybına neden olabilmesidir.
Bundan dolayı, en önemli şey enfeksiyon belirtilerini bilmektir. Her şeyden önce, bir problemi tanımladığınızda profesyonel yardım alın.
Çok dikkatli davranın!
Diş Enfeksiyonunun Belirtileri
1. Ağız kokusu

Halitoz, diş enfeksiyonunun en belirgin semptomlarından biridir.
Bu çok fazla bakteri çeşidinden kaynaklanır. Özellikle fırçanızın ulaşamadığı alanlar ve yiyecek kalıntıları için geçerlidir.
Genellikle ağız hijyeni ürünleri ile kontrol edilir. Bununla birlikte, enfeksiyondan kurtulana kadar sürekli olarak tekrar ortaya çıkacaktır.
Enfeksiyon varlığını şu belirtilerden gösterebilir:
- Dişeti iltihabı
- Boşluklar
- Diş apsesi
- Bakteriyel tartar
- Tükürüğünüzdeki değişiklikler
2. Diş minelerinin aşınması
Diş enfeksiyonunuz olduğunda, ağzınızdaki bakteriler asit üretir. Bu asit, dişlerinizi koruyan diş minelerini aşındırır.
- Bu maddeler kaba dokulu bir plakada birikmektedir. Bu, bazı gıda kalıntıları ile birlikte dişte sarı lekelere neden olur.
- Enfeksiyonu kontrol edememek, dişinizin ciddi şekilde zayıflamasına neden olabilir. Bu dişinizin yoğunluğu azaltabilir ve dişleriniz kırılabilir.
3. Çene ve diş ağrısı

Çene ve dişlerinizde sürekli veya aralıklı bir ağrı hissi de bir enfeksiyon sinyali olabilir. Periodontal hastalıkların ya da diş enfeksiyonlarının gelişimini işaret ediyor olabilir.
- Genel olarak, bunlar dişlerde oluşan plak birikimi ile ilgilidir.
- Bakterilerin büyümesini kolaylaştıran besin artıkları ile ilgili de olabilir.
Bu belirtiye diş hekimi tarafından bakılmalıdır. Bu, çeşitli ağız hastalıklarından ya da yaralanmalardan kaynaklı olabilir.
4. Diş etlerindeki kanama
Diş etlerini etkileyen bir tür yaralanma ya da enfeksiyon olduğunda diş etlerinde kanama görülür.
- Dişlerinizi fırçalarken ya da diş ipi kullanırken bir süre kanama görmek normaldir. Bazı yiyecekleri yediğinizde de bunu fark edebilirsiniz. Ancak, sık sık bu oluyorsa, dişlerinizi bir kontrol ettirmeniz gerekir.
- Başlıca nedeni dişlerinizde plak oluşturan toksinlerdir.
5. Enflamasyon ve kızarıklık

Kaviteler içeren periodontal enfeksiyon, diş eti iltihabına ve kızarıklığa neden olur. Bu neredeyse her zaman acı vericidir.
- Bunla hızlı bir şekilde ilgilenmek, komplikasyonları önlemek için önemlidir. Bunun nedeni şişliğin çene kemiğine yayılabilme olasılığıdır.
6. Gevşek dişler
Gevşek dişler hissetmek, bir dişçiye görünmek için yeterli bir sebepten daha fazlasıdır.
- Bu, bir diş enfeksiyonunun ilerlemesini gösterir. Aynı zamanda dişlerinizi destekleyen kemik yapısının erozyona uğradığını söyler.
- Zaman içinde gingivitis ile ilgilenmediğinizde bunun gerçekleşmesi normaldir. Bu daha sonra periodontite dönüşebilir.
- Bu hastalık etkilenen bölgedeki dişleri hareket ettirebilir. Ciddi durumlarda, kemik bozulmasına neden olur.
7. İrin

Diş etlerinizdeki irin görünümü, potansiyel periodontal hastalıklara karşı sizi uyaran bir işarettir.
Bu, enfeksiyona neden olan patojenik bakterilerin saldırısına karşı bir bağışıklık sisteminin cevabıdır.
- Başlangıçta, bazı “kese oluşumlarına” neden olabilirler. Bu keselere apse denir ve içlerinde kan ve irin bulunur.
- Bu karmaşık, bulaşıcı bir süreçtir ve bir profesyonel tarafından tedavi edilmelidir. Bunun nedeni, zaman içinde tedavi edilmezse, geri dönüşü olmayan hasara neden olabilir.
- Enfeksiyon alveoler kemiğinizi yok etmeye başlayabilir. Bu, dişlerini destekleyen kemiktir.
Önemli!
Dişleriniz ya da diş etlerinizdeki herhangi şüpheli bir enfeksiyon ya da hastalık bir profesyonel tarafından incelenmelidir. Bu sorunlar hızla başka sorunlara neden olabilir.
Ağzınızdaki enfeksiyonlar, kan dolaşımınız yoluyla diğer önemli organları etkilemeye de başlayabilir. Bu yüzden onlara uygun tedaviyi vermek önemlidir.
Herhangi bir diş enfeksiyonunun riskini azaltmak için, iyi bir ağız hijyenine sahip olmak önemlidir. Ayrıca diş hekiminizi düzenli olarak görmelisiniz.
Tüm alıntı yapılan kaynaklar, kalitelerini, güvenilirliklerini, güncelliklerini ve geçerliliklerini sağlamak için ekibimiz tarafından derinlemesine incelendi. Bu makalenin bibliyografisi güvenilir ve akademik veya bilimsel doğruluğa sahip olarak kabul edildi.
- Manriv, N. (2010). La enfermedad periodontal, Enfermedad de las encías. National Institute of Dental and Craniofacial Research 14.
- Herrera González, D., Roldán Díaz, S., and Sanz Alonso, M. (2003). El absceso periodontal. Periodoncia 13, 7–20.
- Aylıkcı BU, Colak H. Halitosis: From diagnosis to management. J Nat Sci Biol Med. 2013;4(1):14–23. doi:10.4103/0976-9668.107255
- Erazo D, Whetstone DR. Dental Infections. [Updated 2019 Nov 11]. In: StatPearls [Internet]. Treasure Island (FL): StatPearls Publishing; 2019 Jan-. Available from: https://www.ncbi.nlm.nih.gov/books/NBK542165/
- Riverón, J., Rodríguez, A., Coutin, G., and Riveron, F. (2003). Factores de riesgo asociados con la enfermedad caries dental en niños.
- Alvares, O. F. (2018). Periodontal diseases. In Nutritional Aspects of Aging: Volume 2. https://doi.org/10.1201/9781351075145
-
InformedHealth.org [Internet]. Cologne, Germany: Institute for Quality and Efficiency in Health Care (IQWiG); 2006-. Gingivitis and periodontitis: Overview. 2011 Oct 5 [Updated 2014 Jun 18]. Available from: https://www.ncbi.nlm.nih.gov/books/NBK279593/
Bu metin yalnızca bilgilendirme amaçlı sunulmuştur ve bir profesyonelle görüşmeyi yerine geçmez. Şüpheleriniz varsa, uzmanınıza danışın.







