Hipofiz Adenomu Nedir?

Hipofiz adenomu, yavaş büyüyen iyi huylu bir tümördür.
Hipofiz bezini oluşturan hücrelerden gelişir. Vücuttaki diğer bezlerin işlevini düzenlediği için önemli bezlerden biridir. Bununla birlikte, hipofiz adenomu nispeten yaygındır ve yaklaşık her 1000 yetişkinde 1 görülür. Kadın ve erkekleri eşit derecede etkilediği için cinsiyet, etkin bir faktör değildir. Yaş değişkenleri açısından baktığımızda 30 ile 40 yaşları arasında daha yüksek bir insidans izlenir.
Genellikle iyi huylu ve yavaş büyüyen bir tümör olduğu için, hipofiz karsinomları veya habis tümörler çok nadirdir. Hipofiz adenomu’na neden olan gerçek faktörleri hala bilmiyoruz. Bununla birlikte, bazı durumlarda, Multipl Endokrin Neoplazi Sendromları adı verilen genetik bir hastalık ile ilişkilendirilmektedir.
Hipofiz adenomu belirtileri

- Hipertiroidizm: Tiroid bezi aşırı miktarda hormon üretir. (Bu belirti hipofiz adenomundan etkilenen kişilerde oldukça nadirdir.)
- Cushing sendromu: Bu durumda, bir hormon olan kortizol seviyesi normalden daha yüksektir.
- Akromegali: Yüksek büyüme hormonu seviyesine sahip çocuklar gigantizmden muzdarip olabilir. Bir yetişkinde gerçekleşirse, akromegali olabilir.
- Hem erkeklerde hem de kadınlarda süt salgısı ve üretimi.
- Kadınlarda seks hormonlarının değişmesi nedeniyle düzensiz adet dönemleri.
Bunun aksine, büyük bir hipofiz tümörü nedeniyle beyin yapılarının sıkışması durumunda bazı spesifik semptomlar ortaya çıkar. Bunlar şunları içerebilir:
Çift görme, görme alanı kaybı, göz kapakları sarkması veya renk görme değişiklikleri gibi görme bozuklukları.
- Baş ağrısı.
- Yorgunluk ve uyuşukluk.
- Nazal, berrak akıntı.
- Mide bulantısı ve kusma.
- Koku duyusu ile ilgili sorunlar.
Bu semptomlar aniden ve aynı anda ortaya çıkarlarsa endişe verici olabilirler. Ayrıca, hipofiz enfaktüsüne yol açabilirler. Bu belirtilerden herhangi birini fark ederseniz, doktorunuza başvurduğunuzdan emin olun.
Ayrıca ilginizi çekebilir: Hipotiroidizm ve 16 İşareti
Adenom türleri
Hipofiz adenomlarını boyuta göre aşağıdaki şekilde sınıflandırabiliriz:
- Mikroadenomlar: Bunlar 3/8 inçten daha azdır.
- Makroadenomlar: Bunlar 3/8 inçten daha büyüktür. Bu tip adenom genellikle bir veya daha fazla hipofiz hormonunda büyük bir açığa neden olur.
Ayrıca, hormon salgılayıp saldırmadıklarına göre sınıflandırılabilirler. Bu kriterlere göre, kendileri hormon salgılıyorlar ise fonksiyonel adenomdurlar. Öte yandan, hormon salgılamıyorlar ise fonksiyonel olmayan adenomdurlar.
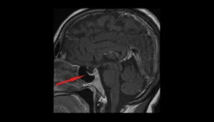
Teşhis

Tanıyı doğrulamaya yardımcı olan en doğru testler görme alanı testleri ve CT ile beyin emarıdır.(MRI)
Ayrıca okuyun: Yüksek Kortizol Seviyesinin 14 İşareti
Hipofiz adenomu tedavisi
Genel olarak, mevcut terapötik seçenekler şunları içerir:
- Farmakolojik tedavi ve hormon replasmanı:
- Hormonal sekresyonu bloke eden ilaçlar belirtileri kontrol edebilir ve hatta tümörün boyutunu azaltabilir.
- Radyasyon tedavisi teknikleri:
- Bunlar genellikle bir tümörün boyutunu azaltmak için kullanılır.
- Hipofiz adenomu cerrahisi: Bu tümörler genellikle burun boşluğundan çıkarılır. Bununla birlikte, bazı durumlarda, doktorların bir kraniyotomi veya kafatasının açılması gerekebilir.
- Endoskopik burun cerrahisi:burun deliklerine bir endoskop yerleştirmek ve sfenoid deliği buluncaya kadar orta konka ve burun septumu arasında kaydırmaktan oluşur. Bu delik, tümörü çıkartmak üzere sfenoid sinüsün yeterli bir şekilde açılmasını ve opere edilmesi adına tümörün zeminini görüntülemeyi sağlamak için büyütülür. Optik sinirde ciddi hasar var ise körlük en ciddi komplikasyondur. Ayrıca, tümör veya eksizyonu, yaşam için hormonal dengesizliklere neden olabilir ve Diyabet insipidus’a yol açabilir. Bu tip diyabet için karakteristik belirtiler sık idrara çıkma ve aşırı su içme ihtiyacıdır.
Her durumda, yukarıdaki semptomlardan herhangi birini fark ederseniz mümkün olduğunca doktorunuza başvurmanız önemlidir.
Hipofiz adenomu, yavaş büyüyen iyi huylu bir tümördür.
Hipofiz bezini oluşturan hücrelerden gelişir. Vücuttaki diğer bezlerin işlevini düzenlediği için önemli bezlerden biridir. Bununla birlikte, hipofiz adenomu nispeten yaygındır ve yaklaşık her 1000 yetişkinde 1 görülür. Kadın ve erkekleri eşit derecede etkilediği için cinsiyet, etkin bir faktör değildir. Yaş değişkenleri açısından baktığımızda 30 ile 40 yaşları arasında daha yüksek bir insidans izlenir.
Genellikle iyi huylu ve yavaş büyüyen bir tümör olduğu için, hipofiz karsinomları veya habis tümörler çok nadirdir. Hipofiz adenomu’na neden olan gerçek faktörleri hala bilmiyoruz. Bununla birlikte, bazı durumlarda, Multipl Endokrin Neoplazi Sendromları adı verilen genetik bir hastalık ile ilişkilendirilmektedir.
Hipofiz adenomu belirtileri

- Hipertiroidizm: Tiroid bezi aşırı miktarda hormon üretir. (Bu belirti hipofiz adenomundan etkilenen kişilerde oldukça nadirdir.)
- Cushing sendromu: Bu durumda, bir hormon olan kortizol seviyesi normalden daha yüksektir.
- Akromegali: Yüksek büyüme hormonu seviyesine sahip çocuklar gigantizmden muzdarip olabilir. Bir yetişkinde gerçekleşirse, akromegali olabilir.
- Hem erkeklerde hem de kadınlarda süt salgısı ve üretimi.
- Kadınlarda seks hormonlarının değişmesi nedeniyle düzensiz adet dönemleri.
Bunun aksine, büyük bir hipofiz tümörü nedeniyle beyin yapılarının sıkışması durumunda bazı spesifik semptomlar ortaya çıkar. Bunlar şunları içerebilir:
Çift görme, görme alanı kaybı, göz kapakları sarkması veya renk görme değişiklikleri gibi görme bozuklukları.
- Baş ağrısı.
- Yorgunluk ve uyuşukluk.
- Nazal, berrak akıntı.
- Mide bulantısı ve kusma.
- Koku duyusu ile ilgili sorunlar.
Bu semptomlar aniden ve aynı anda ortaya çıkarlarsa endişe verici olabilirler. Ayrıca, hipofiz enfaktüsüne yol açabilirler. Bu belirtilerden herhangi birini fark ederseniz, doktorunuza başvurduğunuzdan emin olun.
Ayrıca ilginizi çekebilir: Hipotiroidizm ve 16 İşareti
Adenom türleri
Hipofiz adenomlarını boyuta göre aşağıdaki şekilde sınıflandırabiliriz:
- Mikroadenomlar: Bunlar 3/8 inçten daha azdır.
- Makroadenomlar: Bunlar 3/8 inçten daha büyüktür. Bu tip adenom genellikle bir veya daha fazla hipofiz hormonunda büyük bir açığa neden olur.
Ayrıca, hormon salgılayıp saldırmadıklarına göre sınıflandırılabilirler. Bu kriterlere göre, kendileri hormon salgılıyorlar ise fonksiyonel adenomdurlar. Öte yandan, hormon salgılamıyorlar ise fonksiyonel olmayan adenomdurlar.
Teşhis

Tanıyı doğrulamaya yardımcı olan en doğru testler görme alanı testleri ve CT ile beyin emarıdır.(MRI)
Ayrıca okuyun: Yüksek Kortizol Seviyesinin 14 İşareti
Hipofiz adenomu tedavisi
Genel olarak, mevcut terapötik seçenekler şunları içerir:
- Farmakolojik tedavi ve hormon replasmanı:
- Hormonal sekresyonu bloke eden ilaçlar belirtileri kontrol edebilir ve hatta tümörün boyutunu azaltabilir.
- Radyasyon tedavisi teknikleri:
- Bunlar genellikle bir tümörün boyutunu azaltmak için kullanılır.
- Hipofiz adenomu cerrahisi: Bu tümörler genellikle burun boşluğundan çıkarılır. Bununla birlikte, bazı durumlarda, doktorların bir kraniyotomi veya kafatasının açılması gerekebilir.
- Endoskopik burun cerrahisi:burun deliklerine bir endoskop yerleştirmek ve sfenoid deliği buluncaya kadar orta konka ve burun septumu arasında kaydırmaktan oluşur. Bu delik, tümörü çıkartmak üzere sfenoid sinüsün yeterli bir şekilde açılmasını ve opere edilmesi adına tümörün zeminini görüntülemeyi sağlamak için büyütülür. Optik sinirde ciddi hasar var ise körlük en ciddi komplikasyondur. Ayrıca, tümör veya eksizyonu, yaşam için hormonal dengesizliklere neden olabilir ve Diyabet insipidus’a yol açabilir. Bu tip diyabet için karakteristik belirtiler sık idrara çıkma ve aşırı su içme ihtiyacıdır.
Her durumda, yukarıdaki semptomlardan herhangi birini fark ederseniz mümkün olduğunca doktorunuza başvurmanız önemlidir.
Tüm alıntı yapılan kaynaklar, kalitelerini, güvenilirliklerini, güncelliklerini ve geçerliliklerini sağlamak için ekibimiz tarafından derinlemesine incelendi. Bu makalenin bibliyografisi güvenilir ve akademik veya bilimsel doğruluğa sahip olarak kabul edildi.
-
Jaime, M. de, López, F., & Cabrera, G. (2003). Patología de los adenomas hipofisarios. Patología.
-
Betanzos, R. R., Gerardo, E., Pérez, D., Apolonia, S., Montaño, A., Sánchez, V., … Mendoza, C. (2009). Artículo de revisión Acromegalia. Mcm.
-
CARNEIRO, C. C., MENDES, B. B., & BASTOS, L. G. (2015). ADENOMA HIPOFISÁRIO: CORRELAÇÃO CLÍNICA, LABORATORIAL E RADIOLÓGICA. REVISTA DA UNIVERSIDADE VALE DO RIO VERDE. https://doi.org/10.5892/ruvrd.v13i1.1979
Bu metin yalnızca bilgilendirme amaçlı sunulmuştur ve bir profesyonelle görüşmeyi yerine geçmez. Şüpheleriniz varsa, uzmanınıza danışın.







