Akciğer Kanseri: Belirtileri Ve Tedavisi

Akciğerleriniz solunum sisteminizin en önemli bölümlerindendir. Burnunuza ve ağzınıza giren hava trake borusundan bronşlarınıza oradan da son olarak ciğerlerinize ulaşana kadar ilerler. Akciğer kanseri belirtileri ölümcül olabilir. Bu yüzden erken dönemde fark etmek önemlidir.
Nefes aldığınızda ciğerleriniz havayla dolar. Bu şekilde oksijen alırsınız. O havayı dışarı verdiğinizde ise vücudunuz karbondioksit salar. Peki, akciğer kanseri belirtileri nasıl ortaya çıkar?
Her şey vücudunuzda farklı organlarda ve farklı dokularda – bu durumda akciğerlerde- bulunan hücrelerle başlar. Bu hücreler yeni hücreler oluşturmak üzere bölünür. Hasar gördüklerinde veya yaşlandıklarında başka hücrelerle yer değiştirirler.
Ancak bazen bu süreç kontrolden çıkar ve yenilenme için fazladan yeni hücre üretilir. Tümörler bu şekilde oluşur. Küçük hücreli olmayan akciğer kanseri, belirtilerin sonucunda ortaya çıkabilecek en yaygın kanser türlerinden biridir.
Akciğer Kanserinin Türleri

Küçük hücreli olmayan kanserler mikroskop altındaki görüntülerine göre farklı sınıflara ayrılırlar:
- Skuamöz hücreli karsinom: Bu kanser türü balık puluna benzeyen ince, düz skuamöz hücrelerde oluşur. Tıpta skuamöz hücreli karsinom olarak bilinir.
- Büyük hücreli karsinom: Bu tür, farklı türde pek çok büyük hücreden kaynaklanır.
- Adenokarsinom: Bu kanser türü, akciğer keseciğinde dizili hücrelerde meydana gelir ve mukus gibi maddelerin ortaya çıkmasına sebep olur.
- Yaygın olmayan türler: Pleomorfik karsinoid tümörler, tükürük bezleri karsinomu ve tanımlanamayan karsinomlar.
Risk faktörleri
- Sigara içen insanların akciğer kanserine yakalanma riskleri yüzde 90 oranında artar.
- Ayrıca etrafınızdaki sigara içen bireyler nedeniyle pasif içici olmanızın sigara içmeniz kadar kötü olduğunu unutmayın.
- Bunun yanı sıra arsenik, silikon veya krom gibi maddelerin solunması da başka bir risk faktörüdür.
Akciğer Kanserinin Tanısı

Akciğer kanseri belirtilerine tanı koyabilmek için eksiksiz bir klinik profil tanımlamak mümkün değildir. Ancak aşağıdaki akciğer kanseri belirtileri fark edilebilir:
- Geçmeyen veya gittikçe kötüleşen öksürük
- Göğüs bölgesinde ağrı
- Nefes almada zorluk
- Pas renkli balgam veya kanla ilişkili öksürük
- Sürekli bitkin hissetmek
- Seste kısıklık
- Nedensiz yere kilo vermek
- Bronşit ve zatürre gibi tekrar eden enfeksiyonlar
- Göğüs bölgesinde ıslık sesine benzer ses
Bunun yanı sıra, akciğer kanseri vücudun başka bölümlerine sıçrarsa aşağıdaki belirtiler de görülebilir:
- Kanser karaciğere sıçramışsa ciltte sararma
- Kemik ağrısı
- Baş ağrısı
- Kollarda ve bacaklarda güçsüzlük
- Sersem gibi hissetme
- Nöbetler
- Bağışıklık sistemindeki hücrelerin toplanmasına bağlı olarak lenf bezlerinde şişlik
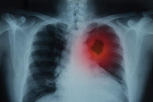
Ayrıca, belirtiler 3 haftadan fazla süreyle devam ederse göğüs röntgeni çektirmek için mutlaka doktorunuzu ziyaret etmelisiniz. Röntgen sonuçlarınıza göre doktor tıbbi geçmişinizi detaylı bir şekilde öğrenmek ve diğer laboratuvar testleriyle birlikte fiziksel bir muayene yapmak isteyebilir.
Bunu da okuyun: Rahim Ağzı Kanserinin 8 Ana Belirtisi
Akciğer Kanseri: Tarama
Bu süreç bir kişi hastalığa yakalanmadan önce belirtilerin var olup olmadığını incelemekten oluşur.
- Fiziksel kontrol: Bir doktor vücudunuzun herhangi bir yerinde bir şişkinlik veya sıradışı başka bir durum olup olmadığını görmek için sizi muayene edebilir. Alışkanlıklarınız ve hastalık veya tedavi geçmişiniz hesaba katılır.
- Laboratuvar testleri: Kan, idrar, doku örnekleri ve kanser belirtilerini gösterebilecek diğer materyaller kullanılır.
- Görüntüleme: Bu prosedür sayesinde doktor vücudunuzun iç bölgelerinin görüntülerini görebilir.
- Genetik testler: Bu testlerle farklı kanser türleriyle ilişkili olabilecek genetik mutasyon olup olmadığı araştırılır.
Not: Ayrıca kanser taraması için yapılacak tüm prosedürleri doktorunuzun izniyle yapmanız şarttır. Çünkü hepsi o kadar faydalı olmayabilir. Hatta bazıları önemli riskler taşır.
Akciğer Kanseri: Tedavi

Hasarın boyutuna ve şiddetine göre akciğer kanseri için uygulanan farklı tedaviler mevcuttur. Aşağıdakiler en yaygın tedavilerdir:
- Cerrahi müdahale: Kanserleri dokuların alındığı bir operasyon
- Kemoterapi: Kanseri azaltan veya yok eden hap şeklinde veya damar içinden alınan ilaçların kullanılması
- Radyoterapi: Yüksek yoğunlukta radyasyonla kanser hücrelerinin hedeflenmesi
- Hedefe yönelik terapi: Kanser hücrelerinin yayılmasını engellemek için ilaçların kullanılması
Kaçırmayın: Akciğer Sağlığınıza İyi Gelecek 8 Bitki
Önlem
- Sigara içmekten ve pasif içici olmaktan kaçının.
- Meyve ve sebze tüketiminizi artırın.
- Düzenli egzersiz yapın.
- Evinizi odunla ısıtmayın. Zararlı maddeler yayabilir.
- Fazlaca endüstriyelleşmiş bölgelerde yaşamaktan kaçının.
- Alkol tüketiminizi azaltın.
- Anormal herhangi bir durumun erken teşhis edilebilmesi için her yıl sağlık kontrolü yaptırın.
Unutmayın: Tedbirli davranmak sonradan üzülmekten iyidir. Hiçbir zaman akciğer kanseri belirtilerini görmezden gelmeyin; hemen bir doktora görünmeniz daha iyi olacaktır.
Akciğerleriniz solunum sisteminizin en önemli bölümlerindendir. Burnunuza ve ağzınıza giren hava trake borusundan bronşlarınıza oradan da son olarak ciğerlerinize ulaşana kadar ilerler. Akciğer kanseri belirtileri ölümcül olabilir. Bu yüzden erken dönemde fark etmek önemlidir.
Nefes aldığınızda ciğerleriniz havayla dolar. Bu şekilde oksijen alırsınız. O havayı dışarı verdiğinizde ise vücudunuz karbondioksit salar. Peki, akciğer kanseri belirtileri nasıl ortaya çıkar?
Her şey vücudunuzda farklı organlarda ve farklı dokularda – bu durumda akciğerlerde- bulunan hücrelerle başlar. Bu hücreler yeni hücreler oluşturmak üzere bölünür. Hasar gördüklerinde veya yaşlandıklarında başka hücrelerle yer değiştirirler.
Ancak bazen bu süreç kontrolden çıkar ve yenilenme için fazladan yeni hücre üretilir. Tümörler bu şekilde oluşur. Küçük hücreli olmayan akciğer kanseri, belirtilerin sonucunda ortaya çıkabilecek en yaygın kanser türlerinden biridir.
Akciğer Kanserinin Türleri

Küçük hücreli olmayan kanserler mikroskop altındaki görüntülerine göre farklı sınıflara ayrılırlar:
- Skuamöz hücreli karsinom: Bu kanser türü balık puluna benzeyen ince, düz skuamöz hücrelerde oluşur. Tıpta skuamöz hücreli karsinom olarak bilinir.
- Büyük hücreli karsinom: Bu tür, farklı türde pek çok büyük hücreden kaynaklanır.
- Adenokarsinom: Bu kanser türü, akciğer keseciğinde dizili hücrelerde meydana gelir ve mukus gibi maddelerin ortaya çıkmasına sebep olur.
- Yaygın olmayan türler: Pleomorfik karsinoid tümörler, tükürük bezleri karsinomu ve tanımlanamayan karsinomlar.
Risk faktörleri
- Sigara içen insanların akciğer kanserine yakalanma riskleri yüzde 90 oranında artar.
- Ayrıca etrafınızdaki sigara içen bireyler nedeniyle pasif içici olmanızın sigara içmeniz kadar kötü olduğunu unutmayın.
- Bunun yanı sıra arsenik, silikon veya krom gibi maddelerin solunması da başka bir risk faktörüdür.
Akciğer Kanserinin Tanısı

Akciğer kanseri belirtilerine tanı koyabilmek için eksiksiz bir klinik profil tanımlamak mümkün değildir. Ancak aşağıdaki akciğer kanseri belirtileri fark edilebilir:
- Geçmeyen veya gittikçe kötüleşen öksürük
- Göğüs bölgesinde ağrı
- Nefes almada zorluk
- Pas renkli balgam veya kanla ilişkili öksürük
- Sürekli bitkin hissetmek
- Seste kısıklık
- Nedensiz yere kilo vermek
- Bronşit ve zatürre gibi tekrar eden enfeksiyonlar
- Göğüs bölgesinde ıslık sesine benzer ses
Bunun yanı sıra, akciğer kanseri vücudun başka bölümlerine sıçrarsa aşağıdaki belirtiler de görülebilir:
- Kanser karaciğere sıçramışsa ciltte sararma
- Kemik ağrısı
- Baş ağrısı
- Kollarda ve bacaklarda güçsüzlük
- Sersem gibi hissetme
- Nöbetler
- Bağışıklık sistemindeki hücrelerin toplanmasına bağlı olarak lenf bezlerinde şişlik
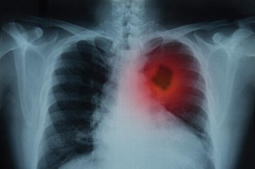
Ayrıca, belirtiler 3 haftadan fazla süreyle devam ederse göğüs röntgeni çektirmek için mutlaka doktorunuzu ziyaret etmelisiniz. Röntgen sonuçlarınıza göre doktor tıbbi geçmişinizi detaylı bir şekilde öğrenmek ve diğer laboratuvar testleriyle birlikte fiziksel bir muayene yapmak isteyebilir.
Bunu da okuyun: Rahim Ağzı Kanserinin 8 Ana Belirtisi
Akciğer Kanseri: Tarama
Bu süreç bir kişi hastalığa yakalanmadan önce belirtilerin var olup olmadığını incelemekten oluşur.
- Fiziksel kontrol: Bir doktor vücudunuzun herhangi bir yerinde bir şişkinlik veya sıradışı başka bir durum olup olmadığını görmek için sizi muayene edebilir. Alışkanlıklarınız ve hastalık veya tedavi geçmişiniz hesaba katılır.
- Laboratuvar testleri: Kan, idrar, doku örnekleri ve kanser belirtilerini gösterebilecek diğer materyaller kullanılır.
- Görüntüleme: Bu prosedür sayesinde doktor vücudunuzun iç bölgelerinin görüntülerini görebilir.
- Genetik testler: Bu testlerle farklı kanser türleriyle ilişkili olabilecek genetik mutasyon olup olmadığı araştırılır.
Not: Ayrıca kanser taraması için yapılacak tüm prosedürleri doktorunuzun izniyle yapmanız şarttır. Çünkü hepsi o kadar faydalı olmayabilir. Hatta bazıları önemli riskler taşır.
Akciğer Kanseri: Tedavi

Hasarın boyutuna ve şiddetine göre akciğer kanseri için uygulanan farklı tedaviler mevcuttur. Aşağıdakiler en yaygın tedavilerdir:
- Cerrahi müdahale: Kanserleri dokuların alındığı bir operasyon
- Kemoterapi: Kanseri azaltan veya yok eden hap şeklinde veya damar içinden alınan ilaçların kullanılması
- Radyoterapi: Yüksek yoğunlukta radyasyonla kanser hücrelerinin hedeflenmesi
- Hedefe yönelik terapi: Kanser hücrelerinin yayılmasını engellemek için ilaçların kullanılması
Kaçırmayın: Akciğer Sağlığınıza İyi Gelecek 8 Bitki
Önlem
- Sigara içmekten ve pasif içici olmaktan kaçının.
- Meyve ve sebze tüketiminizi artırın.
- Düzenli egzersiz yapın.
- Evinizi odunla ısıtmayın. Zararlı maddeler yayabilir.
- Fazlaca endüstriyelleşmiş bölgelerde yaşamaktan kaçının.
- Alkol tüketiminizi azaltın.
- Anormal herhangi bir durumun erken teşhis edilebilmesi için her yıl sağlık kontrolü yaptırın.
Unutmayın: Tedbirli davranmak sonradan üzülmekten iyidir. Hiçbir zaman akciğer kanseri belirtilerini görmezden gelmeyin; hemen bir doktora görünmeniz daha iyi olacaktır.
Tüm alıntı yapılan kaynaklar, kalitelerini, güvenilirliklerini, güncelliklerini ve geçerliliklerini sağlamak için ekibimiz tarafından derinlemesine incelendi. Bu makalenin bibliyografisi güvenilir ve akademik veya bilimsel doğruluğa sahip olarak kabul edildi.
- Ohno, Y., Koyama, H., & Dinkel, J. (2018). Lung cancer. In Medical Radiology (Vol. 0, pp. 293–341). Springer Verlag. https://doi.org/10.1007/174_2016_93
- Ergün, D., Savaş, I., Ergün, R., Kaya, A., & Gülhan, M. (2009). Akciğer kanseri ve ailesel kanser hikayesi. Tuberkuloz ve Toraks, 57(3), 251–258.
- Transer, A. R. (1977). Types of lung cancer. Nursing Times, 73(50), 1959–1960.
- Collins, L. G., Haines, C., Perkel, R., & Enck, R. E. (2007). Lung cancer: Diagnosis and management. American Family Physician, 75(1), 56–63.
Bu metin yalnızca bilgilendirme amaçlı sunulmuştur ve bir profesyonelle görüşmeyi yerine geçmez. Şüpheleriniz varsa, uzmanınıza danışın.







