Akciğer Nodülü Tam Olarak Nedir?

Birinin akciğer nodülü olduğunu duyunca aklınıza gelen ilk şey kanser olabilir. Ancak iki hastalık arasında bağlantı bulunması ihtimaline rağmen bu, çoğu zaman bu, iyi huylu bir nodüldür.
Bir akciğer nodülü 5 ile 30 milimetre arasında boya sahip bir kütledir. Bu, giderek daha sık karşılaşılan bir durumdur. Halihazırdaki tahminlere göre nüfusun yaklaşık %0.2’sini etkilemektedir. İyi haber, bu nodüllerin neredeyse %60’ının iyi huylu olmasıdır.
Bu hastalığın nedenleri, bir enfeksiyondan tümöre değişiklik göstermektedir. Sonuncusu çoğu zaman tesadüfen bir CT taraması (bilgisayarlı tomografi) veya röntgen çekilirken bulunur.
Komplikasyonları önlemek ve daha ciddi bir şey olma ihtimalini elemek için bu durumun erken teşhis edilmesi önemlidir. Bugünkü makalemizde, akciğer nodülü ve semptomlarının neler olduğu hakkında bilmeniz gereken her şeyden bahsedeceğiz.
Akciğer nodülü: Nedenleri
Yukarıda da belirttiğimiz gibi akciğer nodülü akciğerde oluşan bir kitledir ve oluşma nedenleri çeşitlidir. Bunların çoğu -bakteriyel, mantar, ya da parazit- enfeksiyon nedeniyle oluşurlar.
Enfeksiyonun oluşma nedenlerine gelince akciğer nodüllerinin tüberküloz enfeksiyonu olan kişilerde yaygın görülen bir durum olduğunu unutmayın. Evet, görülme sıklığı düşük olmasına rağmen halen görülmekte.
Neoplastik hastalık
Şu anda, bir doktorun yapacağı ilk şey akciğer nodülünün kanserojen olup olmadığını ortaya çıkarıp bu ihtimali elemektir. Bu işlemin nedeni akciğer kanserinin en sık görülen kanserlerden biri olmasıdır.
Bu gibi durumlarda, nodüller kötü tanımlanmış kenarları nedeniyle düzensiz bir görünüme sahip olacaklardır. Bu durum, röntgende görülebilir. Ayrıca, genellikle iyi huylu olanlardan daha küçüktürler. Bunun yanında, aşağıdakiler gibi belirli risk faktörlerinin bir parçasıdırlar:
- Sigara içmek
- 35 yaşın üstünde olmak
- Daha önce kanser olmuş olmak
- Son aylarda akciğer nodülünün hızla büyümüş olması
Ancak, tüm neoplastik akciğer nodüllerinin kötü huylu olmadığını bilmek önemlidir. Bazıları iyi huyludur ancak bunlara kötü huylu olanlara göre daha az rastlanır.

Akciğer nodülünün diğer sebepleri
Bu akciğer bozukluğu nedeniyle oluşabilecek başka pek çok hastalık vardır. Örneğin, ikisi de nadir görülen hastalıklar olsa da Wegener granülomatozis veya romatoid nodül gibi belli bazı otoimmün süreçleri bunlara örnek verebiliriz.
Benzer şekilde, akciğer nodülleri, bazı kişilerde travma nedeniyle ortaya çıkabilir. Bu, büyük ihtimalle, amiloidoz denilen bir metabolik hastalık nedeniyle veya bir bronşiyal kistin ortaya çıkmasından sonra gerçekleşebilir.
Bunu da okuyun: Akciğer Ödemi: Belirtileri ve Nedenleri
Doktorlar akciğer nodülüne nasıl tanı koyarlar?
Öncelikle, akciğer nodülü tanısı koymak ve nedenini belirlemek için bir kişinin tıbbi geçmişine eksiksiz bir şekilde sahip olunması çok önemlidir. Bir hasta daha önce tüberküloz olup olmadığını ya da belli enfeksiyonlara maruz kalıp kalmadığını veya bu enfeksiyonları insanlara bulaştırıp bulaştırmadığını bilmelidir.
Hastaların sigara içip içmediklerini bilmek de önemlidir. Birçok çalışma akciğer nodüllerinin büyük bir kısmının kanserojen olduğunu ve bunun sigara ile ilişkili olduğunu ortaya koymuştur.
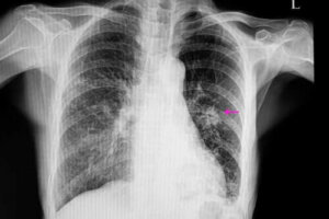
Bunlardan sonra, bir doktorun nodülün yerini belirlemek için belli görüntüleme testlerini gerçekleştirmesi gerekir. Bunun yanı sıra, görüntüler, onların şekil ve boyut gibi belli özellikleri gözlemlemelerini sağlayacaktır. Bunun nedeni iyi huylu bir nodülü, olası kötü huylu bir nodülden ayırt etmede bu faktörlerin önemli olmasıdır.
Bunları teşhis etmenin en yaygın yolları göğüs röntgenleri ve bilgisayarlı tomografilerdir. Akciğer nodülünün kesin nedenini bulmak için hekimler bazen biyopsiler de yaparlar çünkü biyopsiler doktorların dokuyu analiz etmelerini sağlar.

En iyi tedavi nedir?
Uygulanacak tedavi akciğer nodülünün nedenine bağlıdır. Öncelikle, enfeksiyöz bir süreçten kaynaklandığında, antibiyotik veya mantar yok edici kullanılması gerekebilir de gerekmeyebilir de.
Nedeni belirsiz olduğunda, tedavi, hastanın kanser olması riskine odaklanacaktır. Örneğin, nodülü kötü huylu görünmeyen, sigara içmeyen genç insanlar sadece periyodik kontrollere gidebilirler. Burada amaç, nodülün değişip değişmediğinin veya büyüyüp büyümediğinin kontrol edilmesidir.
Benzer şekilde, eğer kanser riski varsa, doktorun bir biyopsi ile takip sürecine devam etmesi önemlidir. Daha sonra, nodül gerçekten kanserojen çıkarsa, onu çıkarmak için bir ameliyat planlamaları gerekecektir. Ameliyatın gerçekleştirilmesi mümkün olmadığında ise kemoterapi veya radyoterapi önerebilirler.
Son olarak, sigaranın akciğerlerdeki olumsuz etkisinin üzerinde durmalıyız. Riskin bilincinde olmalı ve bu patoloji türünün mümkün olan en kısa sürede teşhis edilebilmesi için sık sık sağlık kontrolünden geçmelisiniz.
Birinin akciğer nodülü olduğunu duyunca aklınıza gelen ilk şey kanser olabilir. Ancak iki hastalık arasında bağlantı bulunması ihtimaline rağmen bu, çoğu zaman bu, iyi huylu bir nodüldür.
Bir akciğer nodülü 5 ile 30 milimetre arasında boya sahip bir kütledir. Bu, giderek daha sık karşılaşılan bir durumdur. Halihazırdaki tahminlere göre nüfusun yaklaşık %0.2’sini etkilemektedir. İyi haber, bu nodüllerin neredeyse %60’ının iyi huylu olmasıdır.
Bu hastalığın nedenleri, bir enfeksiyondan tümöre değişiklik göstermektedir. Sonuncusu çoğu zaman tesadüfen bir CT taraması (bilgisayarlı tomografi) veya röntgen çekilirken bulunur.
Komplikasyonları önlemek ve daha ciddi bir şey olma ihtimalini elemek için bu durumun erken teşhis edilmesi önemlidir. Bugünkü makalemizde, akciğer nodülü ve semptomlarının neler olduğu hakkında bilmeniz gereken her şeyden bahsedeceğiz.
Akciğer nodülü: Nedenleri
Yukarıda da belirttiğimiz gibi akciğer nodülü akciğerde oluşan bir kitledir ve oluşma nedenleri çeşitlidir. Bunların çoğu -bakteriyel, mantar, ya da parazit- enfeksiyon nedeniyle oluşurlar.
Enfeksiyonun oluşma nedenlerine gelince akciğer nodüllerinin tüberküloz enfeksiyonu olan kişilerde yaygın görülen bir durum olduğunu unutmayın. Evet, görülme sıklığı düşük olmasına rağmen halen görülmekte.
Neoplastik hastalık
Şu anda, bir doktorun yapacağı ilk şey akciğer nodülünün kanserojen olup olmadığını ortaya çıkarıp bu ihtimali elemektir. Bu işlemin nedeni akciğer kanserinin en sık görülen kanserlerden biri olmasıdır.
Bu gibi durumlarda, nodüller kötü tanımlanmış kenarları nedeniyle düzensiz bir görünüme sahip olacaklardır. Bu durum, röntgende görülebilir. Ayrıca, genellikle iyi huylu olanlardan daha küçüktürler. Bunun yanında, aşağıdakiler gibi belirli risk faktörlerinin bir parçasıdırlar:
- Sigara içmek
- 35 yaşın üstünde olmak
- Daha önce kanser olmuş olmak
- Son aylarda akciğer nodülünün hızla büyümüş olması
Ancak, tüm neoplastik akciğer nodüllerinin kötü huylu olmadığını bilmek önemlidir. Bazıları iyi huyludur ancak bunlara kötü huylu olanlara göre daha az rastlanır.

Akciğer nodülünün diğer sebepleri
Bu akciğer bozukluğu nedeniyle oluşabilecek başka pek çok hastalık vardır. Örneğin, ikisi de nadir görülen hastalıklar olsa da Wegener granülomatozis veya romatoid nodül gibi belli bazı otoimmün süreçleri bunlara örnek verebiliriz.
Benzer şekilde, akciğer nodülleri, bazı kişilerde travma nedeniyle ortaya çıkabilir. Bu, büyük ihtimalle, amiloidoz denilen bir metabolik hastalık nedeniyle veya bir bronşiyal kistin ortaya çıkmasından sonra gerçekleşebilir.
Bunu da okuyun: Akciğer Ödemi: Belirtileri ve Nedenleri
Doktorlar akciğer nodülüne nasıl tanı koyarlar?
Öncelikle, akciğer nodülü tanısı koymak ve nedenini belirlemek için bir kişinin tıbbi geçmişine eksiksiz bir şekilde sahip olunması çok önemlidir. Bir hasta daha önce tüberküloz olup olmadığını ya da belli enfeksiyonlara maruz kalıp kalmadığını veya bu enfeksiyonları insanlara bulaştırıp bulaştırmadığını bilmelidir.
Hastaların sigara içip içmediklerini bilmek de önemlidir. Birçok çalışma akciğer nodüllerinin büyük bir kısmının kanserojen olduğunu ve bunun sigara ile ilişkili olduğunu ortaya koymuştur.
Bunlardan sonra, bir doktorun nodülün yerini belirlemek için belli görüntüleme testlerini gerçekleştirmesi gerekir. Bunun yanı sıra, görüntüler, onların şekil ve boyut gibi belli özellikleri gözlemlemelerini sağlayacaktır. Bunun nedeni iyi huylu bir nodülü, olası kötü huylu bir nodülden ayırt etmede bu faktörlerin önemli olmasıdır.
Bunları teşhis etmenin en yaygın yolları göğüs röntgenleri ve bilgisayarlı tomografilerdir. Akciğer nodülünün kesin nedenini bulmak için hekimler bazen biyopsiler de yaparlar çünkü biyopsiler doktorların dokuyu analiz etmelerini sağlar.

En iyi tedavi nedir?
Uygulanacak tedavi akciğer nodülünün nedenine bağlıdır. Öncelikle, enfeksiyöz bir süreçten kaynaklandığında, antibiyotik veya mantar yok edici kullanılması gerekebilir de gerekmeyebilir de.
Nedeni belirsiz olduğunda, tedavi, hastanın kanser olması riskine odaklanacaktır. Örneğin, nodülü kötü huylu görünmeyen, sigara içmeyen genç insanlar sadece periyodik kontrollere gidebilirler. Burada amaç, nodülün değişip değişmediğinin veya büyüyüp büyümediğinin kontrol edilmesidir.
Benzer şekilde, eğer kanser riski varsa, doktorun bir biyopsi ile takip sürecine devam etmesi önemlidir. Daha sonra, nodül gerçekten kanserojen çıkarsa, onu çıkarmak için bir ameliyat planlamaları gerekecektir. Ameliyatın gerçekleştirilmesi mümkün olmadığında ise kemoterapi veya radyoterapi önerebilirler.
Son olarak, sigaranın akciğerlerdeki olumsuz etkisinin üzerinde durmalıyız. Riskin bilincinde olmalı ve bu patoloji türünün mümkün olan en kısa sürede teşhis edilebilmesi için sık sık sağlık kontrolünden geçmelisiniz.
Tüm alıntı yapılan kaynaklar, kalitelerini, güvenilirliklerini, güncelliklerini ve geçerliliklerini sağlamak için ekibimiz tarafından derinlemesine incelendi. Bu makalenin bibliyografisi güvenilir ve akademik veya bilimsel doğruluğa sahip olarak kabul edildi.
- Un nódulo pulmonar solitario | Medicina Integral. (n.d.). Retrieved December 24, 2019, from https://www.elsevier.es/es-revista-medicina-integral-63-articulo-un-nodulo-pulmonar-solitario-13046283
- Nódulos pulmonares: ¿Pueden ser cancerosos? Mayo Clinic. https://www.mayoclinic.org/es-es/diseases-conditions/lung-cancer/expert-answers/lung-nodules/faq-20058445#:~:text=Los%20n%C3%B3dulos%20pulmonares%20no%20cancerosos%20generalmente%20no%20requieren%20tratamiento.,o%20cambia%20con%20el%20tiempo.
- Prevención del cáncer de pulmón (PDQ®)–Versión para profesionales de salud. Instituto Nacional del Cáncer. https://www.cancer.gov/espanol/tipos/pulmon/pro/prevencion-pulmon-pdq
Bu metin yalnızca bilgilendirme amaçlı sunulmuştur ve bir profesyonelle görüşmeyi yerine geçmez. Şüpheleriniz varsa, uzmanınıza danışın.







