Dişlerdeki Beyaz Noktalar: Neden Ortaya Çıkarlar?

Dişlerde beyaz lekeler farklı nedenlerle ortaya çıkabilir ve farklı faktörlere bağlı olabilir. Onlara sahip olanlar için estetik bir sorunu temsil ederler. Ayrıca, altta yatan bir durumu da temsil edebilirler.
Hatta bazı durumlarda diş hijyeninin bozulduğunu, bakteri plağının biriktiğini ve dişlerin minerallerini kaybettiğini gösteren bir işarettir. Ancak, diğer zamanlarda başka durumlar nedeniyle oluşmuş olabilirler ve bu makalede hepsine bir göz atacağız.
Dişlerdeki beyaz lekelerin kaynağını bilmek, yapılacak tedaviyi belirlememizi sağlar. Çoğu durumda, oldukça kolay bir çözümü vardır ve kişi daha güzel bir gülümsemeye sahip olabilir. Dişlerdeki beyaz lekeler hakkında daha fazla bilgi edinmek için okumaya devam edin.
Dişlerdeki beyaz lekeler nelerdir?
Dişlerdeki beyaz lekeler, diş minesinin yüzeyinde renk değişikliği olarak görülür. Bunlar, dişin normal parlak sarımsı veya grimsi beyazı ile tezat oluşturan, kuru, donuk beyaz bir görünüme sahip alanlar olarak görünürler.
Dişlerdeki beyaz lekeler oldukça yaygındır ve görünümleri birçok faktöre bağlıdır. Diş hijyeni eksikliği en sık görülen nedendir. Şekerli gıdaların aşırı tüketimi, çürüklerin başlaması, hipoplazi ve florozis, kökenlerinin diğer nedenleri olabilir.
Bu lekeler hem çocuklarda hem de yetişkinlerde ve hem geçici hem de kalıcı dişlerde ortaya çıkabilir. Görünüşleri sadece bir sağlık sorunu değil, aynı zamanda estetik bir sorundur. Bazen, bunlara sahip olan kişide güvensizlik ve düşük benlik saygısına neden olurlar ve bu kişi dişlerinin görünümünden dolayı gülümsemesini saklamaya çalışabilir.
Dişlerdeki beyaz lekelerin nedenini netleştirebilmek, uygun tedavinin planlanmasını ve yeni lezyonların ortaya çıkmaması için gerekli önlemlerin alınmasını mümkün kılar. Dişlerinizin renginde herhangi bir değişiklik fark ettiğinizde diş hekimini ziyaret etmek en iyisidir.
Dişlerdeki beyaz lekeler ve ağız hastalıkları ile ilişkisi
Daha önce de belirttiğimiz gibi dişlerde beyaz lekelerin oluşmasının farklı nedenleri vardır. Bazıları dişlerin oluşum anıyla, bazıları ise ağızda bu lezyonlarla kendini gösteren ağız hastalıklarından kaynaklanan dışsal durumlarla ilgilidir.

1. Diş hipoplazileri
Bu durum, dişin sert dokularının oluşum sürecinde yetersiz mineralizasyon ile oluşur. Dişlerin gelişimi sırasında yani anne rahminde veya yaşamın ilk yıllarında meydana gelen bir değişikliktir.
Dental hipoplaziye neden olabilecek birkaç neden vardır:
- Hamilelik sırasındaki sorunlar: Bebeğin müstakbel dişleri oluşurken hamilelik sırasında bazı problemlerden muzdarip olmak, onların mineralizasyonunu değiştirebilir ve hipoplazilere neden olabilir. Yüksek ateş, enfeksiyonlar, anne hastalıkları, beslenme yetersizlikleri veya gebelik sırasında bazı ilaçların alınması bu duruma neden olur.
- Erken çocukluk dönemindeki sorunlar: Dişlerin henüz oluşmadığı yaşamın ilk yıllarında belirli koşullardan muzdarip olmak da hipoplazilere neden olur. Erken doğumlar, düşük doğum ağırlığı, enfeksiyonlar, yüksek ateş, sistemik hastalıklar, yetersiz beslenme ve vitamin eksiklikleri dişlerin mineralizasyonunu değiştirebilecek bazı örneklerdir.
- Travma: Bir darbe bir süt dişini etkilediğinde, kökü aracılığıyla kemiğin içinde oluşan daimi dişin mikropunu yaralayabilir. Bu daimi dişte hipoplaziye neden olur.
Bu makaleyi beğendiniz mi? Şunları da okumak isteyebilirsiniz: Diş Eti Kanamasını Önlemek İçin Yapılması Gerekenler
2. Florozis nedeniyle dişlerde beyaz lekeler
Dental florozis, dişin oluşum döneminde aşırı flor tüketiminin neden olduğu bir patolojidir. Soruna neden olan şey, dişler gelişirken bu mineral için önerilen günlük dozların aşılmasıdır.
Dünyanın bazı bölgelerinde içme suyu bu minerali yüksek miktarda içerir ve dişlerin gelişimi sırasında tüketilmesi florozise neden olabilir. Gerekmediğinde florür takviyesi kullanımı veya yüksek konsantrasyonlu diş macunu çeşitlerinde flor alımı da çıkış noktası olabilir.
Florozis diş yüzeyinde beyaz lekeler şeklinde kendini gösterir. Bu beyaz noktalar genellikle etkilenen birkaç dişi etkiler ve karakteristik bir çizgilenme eğilimi gösterirler. Daha ağır vakalarda renklenme daha kahverengimsi olur ve dişlerin kuronlarında da pürüzlülük ve gamze gibi kusurlar görülebilir.
3. Diş boşlukları
Dişlerde beyaz lekelerin en sık nedenlerinden biri diş boşluklarıdır. Bu hastalığın başlangıcı donuk ve kuru görünümlü beyazımsı bir renklenme ile kendini gösterir.
Bu duruma diş kronunun minesinden mineral kaybı neden olur. Bu, diyette karbonhidratları fermente eden bakteriler tarafından üretilen asitlerin etkisinden kaynaklanır.
Bu nedenle, bu beyaz leke türü, kötü diş hijyeni ve karbonhidrat bakımından zengin bir diyet, özellikle şeker bakımından zengin gıdalar ile ilişkilidir. Bu, çürüğe neden olan bakteri plağının oluşumunu ve birikmesini kolaylaştırır.
Genel olarak, bu durum hastalar tarafından genellikle fark edilmez, bu nedenle düzenli diş muayeneleri önemlidir. Hastalığın bu erken evresi tersine çevrilebilir ve terapötik florür kullanımıyla diş sağlığına kavuşabilir.
4. Dişlerin kireçlenmesi
Dişlerde beyaz lekeler olarak kendini gösteren lokalize kalsiyum kaybı ve kalsiyum eksikliği bölgeleri vardır. Bunlar farklı nedenlerden kaynaklanabilir:
- Diş erozyonu: Diş yüzeyinin sıklıkla asitlerin, gazlı içeceklerin, meşrubatların, sitrik veya sirke türlerinin etkisine maruz kalması diş minesini etkiler. Asit reflüsünden muzdarip olmak da diş yüzeyini değiştirebilir.
- Çok travmatik diş hijyeni uygulamaları: Dişleri çok fazla basınçla çok hızlı fırçalamak, çok fazla kuvvet uygulamak veya çok sert kıllı bir fırçayı sık sık kullanmak diş minesini aşındırabilir.
- Beslenme eksiklikleri: Yeterli besin eksikliği ve ağız ortamında uzun süreli asitlik süreleri dişlerden mineral kaybına neden olur.
- Ağız kuruluğu: Tükürük eksikliği dişlerden mineral kaybını kolaylaştırır.
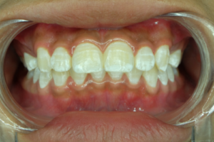
5. Ortodontik tedaviye bağlı beyaz noktalar
Diş teli ile yapılan ortodontik tedavi ile dişlerdeki beyaz lekeler arasında ilişki vardır. Bununla birlikte, dişlerde bu kusurlara neden olan diş telleri değildir, uygun diş hijyeninin sağlanmasındaki zorluk genellikle bu duruma yol açar.
Ağzın tüm bölgelerinin uygun şekilde dezenfekte edilmemesi, diş tellerinin etrafında ve bantların altında plak birikmesine neden olur. Bu, dişlerde beyaz lekeler olarak görülen minenin demineralizasyonu ile sonuçlanır. Genelde bunlar diş telleri çıkarıldığında belirginleşir ve o dönemde tedavi edilmelidir.
Bunu da okumak isteyebileceğinizi düşünüyoruz: Ağız Fibromu Nedir ve Ağız Sağlığını Nasıl Etkiler?
Dişlerdeki beyaz lekeler nasıl kaldırılır
Daha önce de belirttiğimiz gibi, dişlerdeki beyaz lekelerin nedenini belirlemek, onları tersine çevirmek için hangi tedavinin kullanılacağına karar vermek gerekir. Bir diş hekimine görünmek, doğru bir teşhis almanıza ve her bir özel durum için belirtilen tedaviyi planlamanıza olanak tanır. Ardından, aşağıdaki tedavilerden birini önerebilirler.
1. Terapötik florür
Florür, dekalsifikasyonların ve çürüklerin ilk evrelerinin neden olduğu beyaz lekeleri tedavi etmek için kullanılır. Elemanın dişlere lokal olarak uygulanması onların yeniden mineralleşmesini sağlar.
Tedavi diş muayenehanesinde diş hekimi tarafından florür diş yüzeyine yerleştirilerek bir süre etki etmesi için bırakılır. Yüksek konsantrasyonda mineral içeren jeller, vernikler veya köpükler şeklinde gelir.
Ürünü uyguladıktan sonra diş hekimi hastaya birkaç saat boyunca yemek yememesi, içmemesi veya ağzını çalkalamaması talimatını verecektir. Ayrıca diş hekimi, durumu tersine çevirmek için uygulamaların ne sıklıkla tekrarlanacağını belirtecektir.
2. Diş mikroabrazyonu
Bu tedavi yüzeysel beyaz lekeleri tedavi etmek için yararlıdır. Prosedür, dişin etkilenen bölgesinin döner aletler veya özel asitlerle parlatılmasından oluşur. Daha sonra dişin müdahale edilen kısmı diş ile aynı renkte bir dolgu ile doldurulur.
3. Dolgular
Dişlerdeki lekeleri çıkarmanın bir başka yolu da dolguların yerleştirilmesidir. Bunlar daha büyük ve daha derin lekeler için kullanılır.
Bu durumda etkilenen doku döner aletlerle çıkarılır ve bir boşluk bırakılır. Boşluk, özel adeziv sistemlerle birbirine yapıştırılan diş rengindeki kompozitlerle doldurulur.
Kullanılan materyalin macun kıvamında olması diş hekiminin onu şekillendirmesine ve istediği görünümü vermesine olanak tanır. Bittiğinde, malzemeyi sertleştiren özel bir ışık uygulanır ve daha sonra son bitişi vermek için dolgu parlatılır.
4. Diş kaplamaları veya kronları
Bu seçenekler, etkilenen geniş alanların olduğu ve lekelerin hipoplaziler ve florozis gibi gelişim sırasındaki sorunlardan kaynaklandığı en ciddi vakalar için düşünülür. Kaplamalar veya kuronlar, kusurları kapatarak dişlere doğal bir görünüm kazandırır.
Kaplamalar, dişin ön kısmına yerleştirilmesiyle karakterize edilir. Daha önce dişe destek vermesi için az miktarda aşındırma yapılması gerekirdi. Kompozit veya porselenden yapılırlar ve optimal estetiği sağlayabilirler.
Kronlar ise bir başlık gibi tüm dişi kaplar. Daha fazla aşınma gerektiren, bunları yerleştirmek için dişi kesmek de gereklidir.
Bunları tasarlamak için restore edilecek dişin şekli, rengi ve boyutu dikkate alınır, böylece kişiselleştirilirler ve her bir özel durum için yeterli bir çözüm sunarlar.
5. Diş beyazlatma
Beyazlatma, daha beyaz ve daha güzel bir gülümseme elde etmenin en etkili yollarından biridir. Ayrıca, özellikle dişin en dış tabakasındayken dişlerdeki beyaz lekeleri çıkarmanın iyi bir yoludur.
Bu diş tekniği sadece daha estetik sonuçlar elde etmeyi değil, aynı zamanda dişlerin temizlenmesini ve bakterilerin yok edilmesini kolaylaştıran mineyi de düzleştirir. Şu anda, birden fazla beyazlatma türü vardır, bu nedenle en iyi seçenek, en uygun olanı seçmek için bir diş hekimine danışmaktır.

Dişlerde beyaz lekelerin önlenmesi
Dişlerdeki bazı beyaz lekeler önlenemez, ancak çoğu aşağıdaki ipuçlarından bazılarını uygulamaya koyarak önlenebilir:
- Yeterli diş hijyeni: Bakteri plağının birikmesini önlemek, diş parçalarından mineral kaybını önler. Dişleri günde üç kez iyice fırçalamak, diş ipi, florürlü diş macunu kullanmak ve gargaralarla tamamlamak çok önemlidir. Diş teli olan hastalar, ağız hijyenine özellikle dikkat etmeli ve her zaman ağız boşluğunun tüm bölgelerine ulaşmaya çalışmalıdır.
- Aşırı florür tüketiminden kaçınmak: İçme suyunuzdaki florür seviyelerini bilmek, mineral içeren takviyeleri tıbbi endikasyon olmadan kullanmaktan kaçınmak ve her yaşa uygun miktarda diş macunu kullanmak çocuklarda florozun önlenmesine yardımcı olabilir.
- Sağlıklı beslenme: Dengeli ve besleyici bir beslenme, dişlerde kireçlenmeye neden olabilecek mineral eksikliğini önler. Ayrıca işlenmiş, asitli ve yüksek şekerli gıdalardan kaçınmak dişlerinizde beyaz lekeler oluşma riskinizi azaltmanıza yardımcı olacaktır.
- Düzenli diş hekimi ziyaretleri: Son olarak, düzenli diş hekimi ziyaretleri, sorunları zamanında tespit edip zamanında tedavi etmenizi sağlar. Profesyonel temizlik ve diş hekiminin tavsiyesi, bakteri plağını kontrol etmeye ve ağzınızı sağlıklı tutmaya yardımcı olur.
Gülüşünüze dikkat edin
Dişlerinizde beyaz lekeler olması sadece bir ağız sağlığı sorunu değildir. Aynı zamanda kişinin görünüşünü de etkiler, bu da benlik saygısı ve benlik imajı ile ilgili sorunlara neden olabilir.
Neyse ki beyaz lekelerden kaçınmak ve güzel dişlere sahip olmak dişlerinizin bakımını yapmak için belirli tekniklerle mümkündür. Sağlıklı uygulamalar ve düzenli diş hekimi ziyaretleri ile gülümsemek sizin için hiç sorun olmayacak!
Tüm alıntı yapılan kaynaklar, kalitelerini, güvenilirliklerini, güncelliklerini ve geçerliliklerini sağlamak için ekibimiz tarafından derinlemesine incelendi. Bu makalenin bibliyografisi güvenilir ve akademik veya bilimsel doğruluğa sahip olarak kabul edildi.
- Quiñones Ybarría, María Elena, et al. “Estado de salud bucal: su relación con el estado nutricional en niños de 2 a 5 años.” Revista Cubana de Estomatología 45.2 (2008): 0-0.
- Giraldo Giraldo, Nubia Amparo, Alejandro Estrada Restrepo, and Andrés Alonso Agudelo Suárez. “Malnutrición y su relación con aspectos de salud en adultos mayores.” (2019).
- Loyola-Rodríguez, J. P., et al. “Incidencia de lesión de mancha blanca en las clínicas de ortodoncia de la Universidad Michoacana en Morelia, Michoacán, México.” Actualidad Médica 803 (2018).
- Da Silva, Claudia Ester, Julieta Galán, and Stella Maris González. “Etiología y diagnóstico diferencial de las lesiones de mancha blanca sobre la superficie adamantina.” III Jornadas de Actualización en Prácticas Odontológicas Integradas SEPOI-PPS (La Plata, 2018). 2018.
- Narváez Santos, María José. Tratamiento de la mancha blanca del esmalte post tratamiento ortodóncico. BS thesis. Universidad de Guayaquil. Facultad Piloto de Odontología, 2021.
- Garófalo León, Mirian Adela. “Prevalencia de mancha blanca en pacientes de 3 a 6 años Clínica Odontológica UCSG B 2017.” (2018).
- Maldonado-Ramírez, M. A., et al. “Remineralización de caries de mancha blanca no cavitada: estudio in vitro.” Oral 20.64 (2019): 1766-1770.
- Carrasco Morales, Maria Belén. Fluorosis dental infantil. BS thesis. Universidad de Guayaquil. Facultad Piloto de Odontología, 2021.
- Lalama Pincay, Martha Elizabeth. Microabrasión adamantina con ácido clorhídrico y ácido fosfórico en tratamiento de fluorosis dental leve. BS thesis. Universidad de Guayaquil. Facultad Piloto de Odontología, 2018.
- Poma Torres, Esthefania Mirella. Manejo y protocolo de atención de la hipoplasia en niños. BS thesis. Universidad de Guayaquil. Facultad Piloto de Odontología, 2021.
- Montero Ronquillo, Mercedes María. Manchas blancas como primera manifestación en la Estructura dental en dentición temporaria. BS thesis. Universidad de Guayaquil. Facultad Piloto de Odontología, 2021.
- Uzuriaga Bonifacio, Jossibel Dunea. “EFECTIVIDAD DEL FLUOR BARNIZ FRENTE AL FLUOR GEL NEUTRO PARA EL TRATAMIENTO DE MANCHAS BLANCAS DENTARIAS EN NIÑOS DE 5 A 6 AÑOS EN EL HOSPITAL II ESSALUD HUÀNUCO 2019.” (2021).
- González, María Alejandra Romero, and Denisse Pilar Carmen Aguilar Gálvez. “Comparación de tres agentes remineralizantes utilizados en lesiones de manchas blancas en premolares medidos con fluorescencia láser: un estudio in vitro.” Revista Científica Odontológica 7.1 (2019): 66-77.
Bu metin yalnızca bilgilendirme amaçlı sunulmuştur ve bir profesyonelle görüşmeyi yerine geçmez. Şüpheleriniz varsa, uzmanınıza danışın.







