Ayak Bileği Kireçlenmesi: Sessiz Bir Hastalık

Ayak bileği kireçlenmesi birçok insanın yaşam kalitesini sınırlar. Hareketliliği engelleyen, sessiz ve kalıcı bir hastalıktır. Dahası, yol açtığı ağrı, ilaç aldıktan sonra bile azalmayabilir.
Her geçen gün daha fazla kişi kalça ya da diz aşınması ve yıpranması gibi kemik problemleriyle karşılaşıyor. İşte bu problemlerden biri olan ayak bileği kireçlenmesi, dejeneratif hastalıklarla bağlantılı olan osteoartritin çok yaygın bir türüdür.
Ayak bileği eklemlerinin yürümek için çok önemli olduğunu unutmamalıyız. Buna ek olarak, kalça, diz ve ayağın oluşturduğu postural eksenimizin uyum içinde olması adına, ayak bileğinin sahip olduğu fonksiyon vazgeçilmezdir.
Ancak bu eklemi oluşturan tüm bu karmaşık yapının hassas sağlığını ve dayanıklılığını etkileyen birkaç faktör bulunmaktadır. Bu yazımızda ayak bileği kireçlenmesi ve nedenleri hakkında daha fazla bilgi edinebilirsiniz.
Ayrıca bakınız:Romatoid Artriti Tedavi Edin ve Sağlığınıza Geri Kavuşun
Ayak Bileği Kireçlenmesi Nasıl Oluşur?
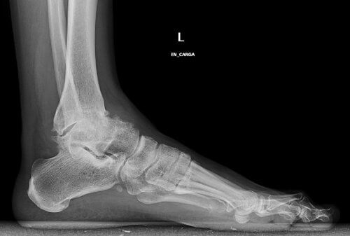
Bu tip bir artroz, ayak bileği eklemindeki kıkırdağın aşamalı olarak aşınması ve yırtılmasından kaynaklanır. Yaşlandıkça ayak bileklerinde sertleşme ve deformasyon oluşması yaygın bir durumdur.
Klasik kemik darbeleri de bu rahatsızlığa neden olabilir. Bu durumda yürümek çok acı verici olur ve hareket kabiliyeti sınırlanır.

Ayak bileği osteoartritinin ortaya çıkmasını teşvik eden nedenler birden fazla olabilir:
- Birden çok kez ayak burkulmasına maruz kalmak
- Atlet olmak
- Kist ya da anormal kemik büyümesinin oluşumu
Bununla birlikte, genellikle romatoid artrit ya da sedef hastalığı gibi otoimmün bozukluklar bu sorunun ileriye dönük başlangıcına neden olur.
- Travmatologlar ayrıca ayak bileğinin kendiliğinden deforme olmasının da bu duruma yol açabileceğini söyler. Hatta düz tabanlı olmak da ayak bileği kireçlenmesi için bir nedendir.
Son olarak, ayak bileği osteoartritinin her zaman belirli bir nedeni yoktur. Bazen genel olarak yaşlıları etkileyen “birincil osteoartrit” denen durumdan kaynaklanabilir.
Ayak bileği osteoartritinin belirtileri nelerdir?
Bu eklemde meydana gelen kıkırdak yıpranması ve yırtılmasına ilişkin ilk uyarı, yürürken hissettiğiniz acıdır. Başlangıçta uzun bir yürüyüşün ardından bu durumu fark ederiz.
- Yürüyüş sırasında ayak bileği bölgesinde basınç ya da daha keskin bir ağrı meydana gelir ve bu durum ağrıyı hafifletmek uğruna ayak bileğimizi bir kaç dakika dinlendirmemiz gerekir.
- Daha sonra ayak bileklerimiz şişebilir ve belirli bir ayakkabı tipini giymek zor olabilir.
- Ayrıca birçok hasta gece boyunca ortaya çıkan ağrılardan yakınır.
- Yavaş bir şekilde ayak bileklerinde meydana gelebilecek ilerleyici deformasyon nedeniyle ağrılı topuk kemiği çıkıntısı da geliştirebilirsiniz.
Ayrıca bakınız: Eklem Ağrıları İçin Doğal Tedaviler
Ayak bileği kireçlenmesinin tedavisi

Ayak bileği eklemi enjeksiyonu
En yaygın tedavilerden biri olan, hiyalüronik asit ya da kortikosteroidlerden yapılmış eklemsel enjeksiyonlardır.
Enjeksiyonlar eklemin hareketliliğini geçici olarak iyileştirir, çünkü eklemi “yağlandırır”. Ancak bu etkinin geçici olduğunu tekrar belirtmeliyiz.
Özel ayakkabı tabanlığı
Bu tarz vakalarda bir uzman görüşü önemlidir. Gösterdiğiniz semptomlara göre sizin için en uygun olan tedaviyi önereceklerdir.
- Bir diğer strateji ise düzeltici ayakkabı tabanlarının kullanılmasıdır. Bunların amacı, hastanın ayağında meydana gelen deformasyonu gidermek ve düzeltmektir.
- Ayrıca yürümenin ayak bileğinde oluşturduğu etkinin boyutunu azaltmaya ve ağrıyı en aza indirgemeye yardımcı olurlar.
- Ayak bileğinize özen göstermek için özel tabanlıklar içeren belirli ayakkabı çeşitleri piyasada bulunmaktadır.
Cerrahi tedavi
Travmatolog, cerrahi bir müdahaleye ihtiyacınız olduğunu belirtebilir. Bu durumda artroskopi adı verilen cerrahi işlemle bu hastalığı hafifletmek mümkündür.
- Eklemin genel olarak basit ve hızlı bir işlemle düzeltildiği bu uygulama, hastalığın erken evrelerinde etkilidir.
Öte yandan, sadece eklem hasarının hali hazırda ileri seviyede olduğu çok şiddetli vakalarda, bütüncül ayak bileği protezi çözüm olarak seçilebilir.
Eklemin bütünsel hareketliliğini bu şekilde geri kazanırız.
Ayak bileği osteoartritini nasıl önleyebilirim?

- Havuzda hareketlilik egzersizlerini uygulayın.
- Zemin üzerindeyken eşitsizlik olmayan düz yüzeylerde yürümeye çalışın.
- Sağlıklı bir kiloda kalın.
- Yüksek topuklu ayakkabıları çok fazla kullanmayın.
- Evde birkaç saat yalın ayak yürümeyi deneyin, çünkü yürümenin en tehlikesiz şekli budur.
Son olarak, size önemli bir gerçeği hatırlatmalıyız. Kireçlenme problemleri çoğunlukla genetik nedenlerden kaynaklanmaktadır. Bu nedenle, 55 yaşında bir birey için bu durumun bazı semptomlarını fark etmeye başlamak çok olağandır.
Eklem sağlığınıza özen göstermek veya en azından bu hastalığın ilerleyişini önlemek için uymanız gereken teknikler veya tavsiyeler konusunda travmatologunuza danışmalısınız.
Ayak bileği kireçlenmesi birçok insanın yaşam kalitesini sınırlar. Hareketliliği engelleyen, sessiz ve kalıcı bir hastalıktır. Dahası, yol açtığı ağrı, ilaç aldıktan sonra bile azalmayabilir.
Her geçen gün daha fazla kişi kalça ya da diz aşınması ve yıpranması gibi kemik problemleriyle karşılaşıyor. İşte bu problemlerden biri olan ayak bileği kireçlenmesi, dejeneratif hastalıklarla bağlantılı olan osteoartritin çok yaygın bir türüdür.
Ayak bileği eklemlerinin yürümek için çok önemli olduğunu unutmamalıyız. Buna ek olarak, kalça, diz ve ayağın oluşturduğu postural eksenimizin uyum içinde olması adına, ayak bileğinin sahip olduğu fonksiyon vazgeçilmezdir.
Ancak bu eklemi oluşturan tüm bu karmaşık yapının hassas sağlığını ve dayanıklılığını etkileyen birkaç faktör bulunmaktadır. Bu yazımızda ayak bileği kireçlenmesi ve nedenleri hakkında daha fazla bilgi edinebilirsiniz.
Ayrıca bakınız:Romatoid Artriti Tedavi Edin ve Sağlığınıza Geri Kavuşun
Ayak Bileği Kireçlenmesi Nasıl Oluşur?
Bu tip bir artroz, ayak bileği eklemindeki kıkırdağın aşamalı olarak aşınması ve yırtılmasından kaynaklanır. Yaşlandıkça ayak bileklerinde sertleşme ve deformasyon oluşması yaygın bir durumdur.
Klasik kemik darbeleri de bu rahatsızlığa neden olabilir. Bu durumda yürümek çok acı verici olur ve hareket kabiliyeti sınırlanır.

Ayak bileği osteoartritinin ortaya çıkmasını teşvik eden nedenler birden fazla olabilir:
- Birden çok kez ayak burkulmasına maruz kalmak
- Atlet olmak
- Kist ya da anormal kemik büyümesinin oluşumu
Bununla birlikte, genellikle romatoid artrit ya da sedef hastalığı gibi otoimmün bozukluklar bu sorunun ileriye dönük başlangıcına neden olur.
- Travmatologlar ayrıca ayak bileğinin kendiliğinden deforme olmasının da bu duruma yol açabileceğini söyler. Hatta düz tabanlı olmak da ayak bileği kireçlenmesi için bir nedendir.
Son olarak, ayak bileği osteoartritinin her zaman belirli bir nedeni yoktur. Bazen genel olarak yaşlıları etkileyen “birincil osteoartrit” denen durumdan kaynaklanabilir.
Ayak bileği osteoartritinin belirtileri nelerdir?
Bu eklemde meydana gelen kıkırdak yıpranması ve yırtılmasına ilişkin ilk uyarı, yürürken hissettiğiniz acıdır. Başlangıçta uzun bir yürüyüşün ardından bu durumu fark ederiz.
- Yürüyüş sırasında ayak bileği bölgesinde basınç ya da daha keskin bir ağrı meydana gelir ve bu durum ağrıyı hafifletmek uğruna ayak bileğimizi bir kaç dakika dinlendirmemiz gerekir.
- Daha sonra ayak bileklerimiz şişebilir ve belirli bir ayakkabı tipini giymek zor olabilir.
- Ayrıca birçok hasta gece boyunca ortaya çıkan ağrılardan yakınır.
- Yavaş bir şekilde ayak bileklerinde meydana gelebilecek ilerleyici deformasyon nedeniyle ağrılı topuk kemiği çıkıntısı da geliştirebilirsiniz.
Ayrıca bakınız: Eklem Ağrıları İçin Doğal Tedaviler
Ayak bileği kireçlenmesinin tedavisi

Ayak bileği eklemi enjeksiyonu
En yaygın tedavilerden biri olan, hiyalüronik asit ya da kortikosteroidlerden yapılmış eklemsel enjeksiyonlardır.
Enjeksiyonlar eklemin hareketliliğini geçici olarak iyileştirir, çünkü eklemi “yağlandırır”. Ancak bu etkinin geçici olduğunu tekrar belirtmeliyiz.
Özel ayakkabı tabanlığı
Bu tarz vakalarda bir uzman görüşü önemlidir. Gösterdiğiniz semptomlara göre sizin için en uygun olan tedaviyi önereceklerdir.
- Bir diğer strateji ise düzeltici ayakkabı tabanlarının kullanılmasıdır. Bunların amacı, hastanın ayağında meydana gelen deformasyonu gidermek ve düzeltmektir.
- Ayrıca yürümenin ayak bileğinde oluşturduğu etkinin boyutunu azaltmaya ve ağrıyı en aza indirgemeye yardımcı olurlar.
- Ayak bileğinize özen göstermek için özel tabanlıklar içeren belirli ayakkabı çeşitleri piyasada bulunmaktadır.
Cerrahi tedavi
Travmatolog, cerrahi bir müdahaleye ihtiyacınız olduğunu belirtebilir. Bu durumda artroskopi adı verilen cerrahi işlemle bu hastalığı hafifletmek mümkündür.
- Eklemin genel olarak basit ve hızlı bir işlemle düzeltildiği bu uygulama, hastalığın erken evrelerinde etkilidir.
Öte yandan, sadece eklem hasarının hali hazırda ileri seviyede olduğu çok şiddetli vakalarda, bütüncül ayak bileği protezi çözüm olarak seçilebilir.
Eklemin bütünsel hareketliliğini bu şekilde geri kazanırız.
Ayak bileği osteoartritini nasıl önleyebilirim?

- Havuzda hareketlilik egzersizlerini uygulayın.
- Zemin üzerindeyken eşitsizlik olmayan düz yüzeylerde yürümeye çalışın.
- Sağlıklı bir kiloda kalın.
- Yüksek topuklu ayakkabıları çok fazla kullanmayın.
- Evde birkaç saat yalın ayak yürümeyi deneyin, çünkü yürümenin en tehlikesiz şekli budur.
Son olarak, size önemli bir gerçeği hatırlatmalıyız. Kireçlenme problemleri çoğunlukla genetik nedenlerden kaynaklanmaktadır. Bu nedenle, 55 yaşında bir birey için bu durumun bazı semptomlarını fark etmeye başlamak çok olağandır.
Eklem sağlığınıza özen göstermek veya en azından bu hastalığın ilerleyişini önlemek için uymanız gereken teknikler veya tavsiyeler konusunda travmatologunuza danışmalısınız.
Tüm alıntı yapılan kaynaklar, kalitelerini, güvenilirliklerini, güncelliklerini ve geçerliliklerini sağlamak için ekibimiz tarafından derinlemesine incelendi. Bu makalenin bibliyografisi güvenilir ve akademik veya bilimsel doğruluğa sahip olarak kabul edildi.
- Hintermann, B., & Ruiz, R. (2014). Artrosis de tobillo y su tratamiento con artroplastía total de tobillo. Revista Médica Clínica Las Condes. https://doi.org/10.1016/S0716-8640(14)70113-0
- Zadegan, F., Raould, A., & Hannouche, D. (2014). Fracturas maleolares del adulto y luxaciones del tobillo. EMC – Aparato Locomotor. https://doi.org/10.1016/S1286-935X(14)67554-7
- Giovanni Carcuro, U., Sergio Eckholt, G., & Rodrigo Millán, P. (2014). Opciones no protésicas en el tratamiento de la artrosis de tobillo. Revista Médica Clínica Las Condes. https://doi.org/10.1016/S0716-8640(14)70109-9
Bu metin yalnızca bilgilendirme amaçlı sunulmuştur ve bir profesyonelle görüşmeyi yerine geçmez. Şüpheleriniz varsa, uzmanınıza danışın.







