Parmak Çıtlatmak Zararlı mıdır?

Eklem kütletmek, parmak kütletmek ya da parmak çıtlatmak (nasıl isimlendirmek isterseniz) o bölgedeki gerilimi rahatlatmak için sıklıkla yapılan bir harekettir.
Ancak çeşitli çalışmalar parmak çıtlatmanın zararlı olduğunu işaret emektedi. Bu makalemizde, neden böyle bir sonuca varıldığını ve çıtlatma sesi çıktığında eklemlerinizde neler olduğunu bulabilirsiniz.
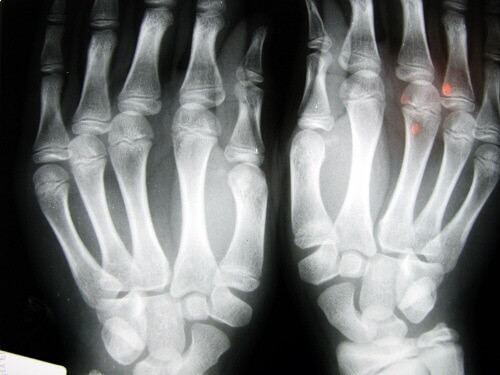
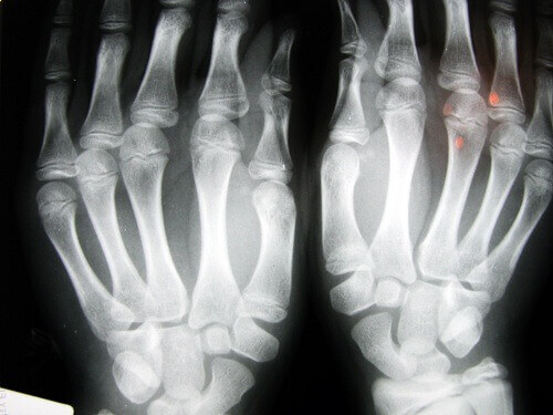
Parmaklarınız neden “çıtlar”?
Parmaklarınızı, el ve ayak bileklerinizi ya da vücudunuzun herhangi bir bölümünü çıtlattığınız zaman duyduğunuz bu ses, eklemlerde bulunan sıvının içindeki baloncukların patlaması sonucu oluşur.
Eklemlerin kemikleri birleştiren noktalar olduğunu ve ince bir tabaka halinde “sinoviyal” sıvıyla kaplı olduğunu da unutmamak gerekir. Örneğin, bir parmak eklemini çıtlattığınızda, kütlettiğinizde ya da esnettiğinizde eklem uçları birbirinden ayrılır.
Eklemlerinizi saran kapsül esner ve genişler; böylece buradaki baskı azalır. Bu durum gerçekleştiğinde, sinoviyal sıvının içindeki gazlar baloncuk oluşmasına neden olur. Ardından baloncuklar söz konusu olan çıtlama sesini çıkartarak ‘patlar’.

Bu gazların sinoviyal sıvının içine tekrar karışması için yarım saate ihtiyaçları vardır. Bu nedenle bir eklemi çıtlatıp bu sesi duyduktan sonra, yarım saatlik süre tekrar parmaklarınızı çıtlatamazsınız.
Sıklıkla karşılaşılan bu alışkanlığın risklerinin belirlenmesiyle ilgili yapılmış çok fazla bilimsel çalışma olmadığını da belirtmek gerekir. Ancak parmaklarını sıklıkla çıtlatan farklı insanların artrit ya da osteoartrit gibi eklem rahatsızlıklarıyla karşılaşıp karşılaşmadıklarını analiz etmek için çeşitli araştırmalar yapılmıştır.
Yapılan çalışmalar sonucunda parmaklarda yumuşak doku zedelenmesi ve bir nesneyi tutmada zorluk çekme gibi deformasyon belirtileri oluştuğu keşfedildi. Bu durumun eklem bağlarının defalarca ve hızlıca esnemesi ve kasılması ile ilgili olduğu düşünülüyor.

Konuyla ilgili esas olan şey şu ki; parmak çıtlatmak, eklemlerde hareket kabiliyetinde artışa ve bir rahatlama hissi oluşmasına neden oluyor. Bu nedenle parmak çıtlatmak birçok insan için günlük bir alışkanlık haline gelmiş durumdadır.
Diğer yandan bazı insanlar ise, uzmanlık alanı kemikleri “düzenlemek” ya da “sıraya dizmek” olan kiropraktörlere başvuruyor. Bu tedavi yöntemini uygulayanlar ağrılarının azalması ve kaslarının yumuşamasıyla birlikte kendilerini gevşemiş ve rahatlamış hissettiklerini belirtiyorlar.
Parmak çıtlatmak kasların zayıflamasına neden olur
Bazı araştırmacılara göre parmak çıtlatmak, kaslarda zayıflamaya neden oluyor. Ancak bunun fiziksel olarak çok aktif olmayan insanların sıklıkla karşılaştığı bir durum olduğunu unutmayın.
Çünkü yetersiz aktiviteden dolayı gün içinde eklem ve kaslar sadece çıtlatma sonucu esner. Hareketsizlik, kas yapısının güçsüzleşmesine neden olur.
Böylece kaslar yıpranmışlık ve yorgunluk hissi verir. Bu şekilde kısır döngü başlar ve insanlar eklemlerini rahatlatmak için parmaklarını çıtlattıktan kısa süre sonra bunu tekrar yapma gereği duyar.

Parmak çıtlamak sıklıkla yapılarak ağrı ve kasılmalar azaltılmak istenir; ancak eklemler için doğal olmayan, ters ve uygunsuz bir hareket olduğunun da akıldan çıkarılmaması gerekir.
Kasları gevşettiği yönündeki yaygın inanışın tersine, kemikler arasındaki aşınmayı engelleyen doğal bir kayganlaştırıcı olan sinoviyal sıvısının kaybına neden olur.
Bu sadece eklem sağlığınızın bozulmasına yol açmakla kalmayıp kemiklerinizin aşınmasına ya da kırılmasına bile sebep olabilir. Karşılaşabileceğiniz diğer sonuçlar ise sertlik, problemli bölgede deformasyon, sadece dinlendikten sonra geçen keskin ağrılardır.
Bu problemlerin en sık görüldüğü grup 40 yaş üstü yetişkinlerdir. Eklemleri kütletme sonucu ortaya çıkan rahatsızlıklar en çok el (parmaklar ve bilekler) ve boyun bölgesinde gözlemlenir.
Bu problemleri engellemenin en iyi yolu, yaşınızı ve fiziksel durumunuzu da göz önüne alarak egzersiz yapmaktır. Yürüyüş ve yüzme en çok tavsiye edilen egzersizlerdir.

Kaslarınızı güçlendiren ve esneklik kazandıran egzersizleri de yapmanız şiddetle tavsiye edilir; böylece eklemlerinize zarar vermeden ve zorlamadan her türlü hareketi yapabilecek dayanıklılığı kazanırsınız.
Otuzlu yaşları geçtikten sonra eklem dokuları esnekliklerini kaybetmeye başlar; bu nedenle fiziksel hareketsizlik ya da bilgisayar ve televizyon karşısında uzun süre hareketsiz kalmak gibi zararlı alışkanlıklardan kurtulmak daha önemli hale gelir.
Parmak çıtlatmak artrite neden olur mu?
Birçok insan parmakları çıtlatmanın ya da eklemleri esnetmenin artrite neden olup olmadığını merak ediyor. Makalemizde daha önce de belirttiğimiz gibi, bu durum yıllar boyunca devam eden günlük bir alışkanlık haline gelirse, teorik olarak kıkırdaklarınıza zarar verebileceği doğrudur.
Bu makalemiz de ilginizi çekebilir: Osteoartriti Önlemek için 5 Muhteşem Yiyecek
Bu konuyla ilgili bilinen en iyi çalışma, sol elindeki parmaklarını 60 yıl boyunca günde 2 kere çıtlatıp sağ elindekilere ise hiç dokunmayan Dr. Donald Unger tarafından yapılmıştır. Çalışma sırasında parmaklarını her yıl inceleyen Dr. Unger, iki elinde de hiçbir deformasyon belirtisiyle karşılaşmamıştır.

Bir diğer çalışma da ise Los Angeles’taki bir huzurevinde bulunan 30 yaşlı insan üzerinde yapıldı. Bu çalışmada hayatları boyunca parmaklarını çıtlatan kişilerin osteoartrit sorunu yaşamadıkları gözlemlendi.
Üçüncü çalışma ise Detroit’te 45 yaşındaki yetişkin insanlar üzerinde yapıldı. Bu çalışma sırasında temel problemin parmaklardaki kavrama kabiliyetinde düşüş olduğu ve katılanların %80’inden fazlasının parmaklarında şişkinlik oluştuğu keşfedildi.
Bu nedenle parmaklarınızı devamlı çıtlatmanızı tavsiye etmiyoruz. Ancak yine de ara sıra eklemlerdeki kasılmayı azaltmak için yapmak o kadar da kötü bir şeymiş gibi görünmüyor.
Umarız parmakları çıtlatmakla ilgili sıklıkla karşılaşılan soruların cevaplarını vermişizdir. Okuduğunuz için teşekkürler!
Eklem kütletmek, parmak kütletmek ya da parmak çıtlatmak (nasıl isimlendirmek isterseniz) o bölgedeki gerilimi rahatlatmak için sıklıkla yapılan bir harekettir.
Ancak çeşitli çalışmalar parmak çıtlatmanın zararlı olduğunu işaret emektedi. Bu makalemizde, neden böyle bir sonuca varıldığını ve çıtlatma sesi çıktığında eklemlerinizde neler olduğunu bulabilirsiniz.
Parmaklarınız neden “çıtlar”?
Parmaklarınızı, el ve ayak bileklerinizi ya da vücudunuzun herhangi bir bölümünü çıtlattığınız zaman duyduğunuz bu ses, eklemlerde bulunan sıvının içindeki baloncukların patlaması sonucu oluşur.
Eklemlerin kemikleri birleştiren noktalar olduğunu ve ince bir tabaka halinde “sinoviyal” sıvıyla kaplı olduğunu da unutmamak gerekir. Örneğin, bir parmak eklemini çıtlattığınızda, kütlettiğinizde ya da esnettiğinizde eklem uçları birbirinden ayrılır.
Eklemlerinizi saran kapsül esner ve genişler; böylece buradaki baskı azalır. Bu durum gerçekleştiğinde, sinoviyal sıvının içindeki gazlar baloncuk oluşmasına neden olur. Ardından baloncuklar söz konusu olan çıtlama sesini çıkartarak ‘patlar’.

Bu gazların sinoviyal sıvının içine tekrar karışması için yarım saate ihtiyaçları vardır. Bu nedenle bir eklemi çıtlatıp bu sesi duyduktan sonra, yarım saatlik süre tekrar parmaklarınızı çıtlatamazsınız.
Sıklıkla karşılaşılan bu alışkanlığın risklerinin belirlenmesiyle ilgili yapılmış çok fazla bilimsel çalışma olmadığını da belirtmek gerekir. Ancak parmaklarını sıklıkla çıtlatan farklı insanların artrit ya da osteoartrit gibi eklem rahatsızlıklarıyla karşılaşıp karşılaşmadıklarını analiz etmek için çeşitli araştırmalar yapılmıştır.
Yapılan çalışmalar sonucunda parmaklarda yumuşak doku zedelenmesi ve bir nesneyi tutmada zorluk çekme gibi deformasyon belirtileri oluştuğu keşfedildi. Bu durumun eklem bağlarının defalarca ve hızlıca esnemesi ve kasılması ile ilgili olduğu düşünülüyor.

Konuyla ilgili esas olan şey şu ki; parmak çıtlatmak, eklemlerde hareket kabiliyetinde artışa ve bir rahatlama hissi oluşmasına neden oluyor. Bu nedenle parmak çıtlatmak birçok insan için günlük bir alışkanlık haline gelmiş durumdadır.
Diğer yandan bazı insanlar ise, uzmanlık alanı kemikleri “düzenlemek” ya da “sıraya dizmek” olan kiropraktörlere başvuruyor. Bu tedavi yöntemini uygulayanlar ağrılarının azalması ve kaslarının yumuşamasıyla birlikte kendilerini gevşemiş ve rahatlamış hissettiklerini belirtiyorlar.
Parmak çıtlatmak kasların zayıflamasına neden olur
Bazı araştırmacılara göre parmak çıtlatmak, kaslarda zayıflamaya neden oluyor. Ancak bunun fiziksel olarak çok aktif olmayan insanların sıklıkla karşılaştığı bir durum olduğunu unutmayın.
Çünkü yetersiz aktiviteden dolayı gün içinde eklem ve kaslar sadece çıtlatma sonucu esner. Hareketsizlik, kas yapısının güçsüzleşmesine neden olur.
Böylece kaslar yıpranmışlık ve yorgunluk hissi verir. Bu şekilde kısır döngü başlar ve insanlar eklemlerini rahatlatmak için parmaklarını çıtlattıktan kısa süre sonra bunu tekrar yapma gereği duyar.

Parmak çıtlamak sıklıkla yapılarak ağrı ve kasılmalar azaltılmak istenir; ancak eklemler için doğal olmayan, ters ve uygunsuz bir hareket olduğunun da akıldan çıkarılmaması gerekir.
Kasları gevşettiği yönündeki yaygın inanışın tersine, kemikler arasındaki aşınmayı engelleyen doğal bir kayganlaştırıcı olan sinoviyal sıvısının kaybına neden olur.
Bu sadece eklem sağlığınızın bozulmasına yol açmakla kalmayıp kemiklerinizin aşınmasına ya da kırılmasına bile sebep olabilir. Karşılaşabileceğiniz diğer sonuçlar ise sertlik, problemli bölgede deformasyon, sadece dinlendikten sonra geçen keskin ağrılardır.
Bu problemlerin en sık görüldüğü grup 40 yaş üstü yetişkinlerdir. Eklemleri kütletme sonucu ortaya çıkan rahatsızlıklar en çok el (parmaklar ve bilekler) ve boyun bölgesinde gözlemlenir.
Bu problemleri engellemenin en iyi yolu, yaşınızı ve fiziksel durumunuzu da göz önüne alarak egzersiz yapmaktır. Yürüyüş ve yüzme en çok tavsiye edilen egzersizlerdir.

Kaslarınızı güçlendiren ve esneklik kazandıran egzersizleri de yapmanız şiddetle tavsiye edilir; böylece eklemlerinize zarar vermeden ve zorlamadan her türlü hareketi yapabilecek dayanıklılığı kazanırsınız.
Otuzlu yaşları geçtikten sonra eklem dokuları esnekliklerini kaybetmeye başlar; bu nedenle fiziksel hareketsizlik ya da bilgisayar ve televizyon karşısında uzun süre hareketsiz kalmak gibi zararlı alışkanlıklardan kurtulmak daha önemli hale gelir.
Parmak çıtlatmak artrite neden olur mu?
Birçok insan parmakları çıtlatmanın ya da eklemleri esnetmenin artrite neden olup olmadığını merak ediyor. Makalemizde daha önce de belirttiğimiz gibi, bu durum yıllar boyunca devam eden günlük bir alışkanlık haline gelirse, teorik olarak kıkırdaklarınıza zarar verebileceği doğrudur.
Bu makalemiz de ilginizi çekebilir: Osteoartriti Önlemek için 5 Muhteşem Yiyecek
Bu konuyla ilgili bilinen en iyi çalışma, sol elindeki parmaklarını 60 yıl boyunca günde 2 kere çıtlatıp sağ elindekilere ise hiç dokunmayan Dr. Donald Unger tarafından yapılmıştır. Çalışma sırasında parmaklarını her yıl inceleyen Dr. Unger, iki elinde de hiçbir deformasyon belirtisiyle karşılaşmamıştır.

Bir diğer çalışma da ise Los Angeles’taki bir huzurevinde bulunan 30 yaşlı insan üzerinde yapıldı. Bu çalışmada hayatları boyunca parmaklarını çıtlatan kişilerin osteoartrit sorunu yaşamadıkları gözlemlendi.
Üçüncü çalışma ise Detroit’te 45 yaşındaki yetişkin insanlar üzerinde yapıldı. Bu çalışma sırasında temel problemin parmaklardaki kavrama kabiliyetinde düşüş olduğu ve katılanların %80’inden fazlasının parmaklarında şişkinlik oluştuğu keşfedildi.
Bu nedenle parmaklarınızı devamlı çıtlatmanızı tavsiye etmiyoruz. Ancak yine de ara sıra eklemlerdeki kasılmayı azaltmak için yapmak o kadar da kötü bir şeymiş gibi görünmüyor.
Umarız parmakları çıtlatmakla ilgili sıklıkla karşılaşılan soruların cevaplarını vermişizdir. Okuduğunuz için teşekkürler!
Tüm alıntı yapılan kaynaklar, kalitelerini, güvenilirliklerini, güncelliklerini ve geçerliliklerini sağlamak için ekibimiz tarafından derinlemesine incelendi. Bu makalenin bibliyografisi güvenilir ve akademik veya bilimsel doğruluğa sahip olarak kabul edildi.
- Healthline.com Hypermobile Joints [Online] Available at: www.healthline.com/health/hypermobile-joints
- Healthline.com Understanding Cartilage, Joints, and the Aging Process [Online] Available at: www.healthline.com/health/osteoarthritis/understanding-aging-and-joints
Bu metin yalnızca bilgilendirme amaçlı sunulmuştur ve bir profesyonelle görüşmeyi yerine geçmez. Şüpheleriniz varsa, uzmanınıza danışın.







