Topuk Dikeni Tedavisi, Sebepleri ve Semptomları

Topuk dikeni başta amatör sporcular olmak üzere herkesin başına gelebilecek bir sorundur. Yazımızda topuk dikeni tedavisi üstünde duracağız.
Topuk dikeni, ayak plantar şeridinin enflamasyonudur. Bu bağ, topuk kemiğini proksimal falankslarla bağlar ve her adımda lastik bir bant gibi uzar ve büzülür.
Plantar şeridi, muazzam miktarda basıncı ve direnci karşılaması gerektiğinden, çok geniş ve kalın bir dokudur.
Bu bağın enflamasyonu topuk bölgesinde ağrı ile kendini gösterir. Bu, bu bölgedeki ağrının en yaygın sebeplerinden biridir.
İlginizi çekebilir: Topuk Dikeni Ağrısı için Tenis Topu Kullanmak
Risk faktörleri
- Tekrarlı hareketlerle yapılan sporlar
- Yüksek pronasyon
- Artrit veya diyabet gibi durumlar
- Uygunsuz ayakkabı
- Düz taban
- Yaşlanma
- Obezite
- Hormonal değişiklikler
Belirtileri
Plantar kemerinin aşırı kullanımı dokuda mikro-travmalara neden olur. Tekrarlanan küçük yırtılmalar, bağda enflamasyona yol açar, bu da topuk ağrısına neden olur.
Diğer bir deyişle, tek bir gecede ortaya çıkmaması, bunun yerine tekrarlanan yaralanmaların bir sonucu olmasıyla kronik bir sorundur.
Topuk dikeninin sebepleri
Bağın yaralanması birçok farklı nedenden dolayı meydana gelebilir. Çevresel nedenler, duruş bozuklukları ve genetik de dahil olmak üzere birçok faktör topuk dikenine neden olabilir.

Yanlış ayakkabı giyme, kötü duruş, ayakların aşırı kullanımı, ilgili kasların esnek olmayışı ve yanlış yürüme gibi acıyı ciddi derecede ağırlaştıran faktörler de vardır.
Tekrar eden fiziksel aktivite
Aşırı egzersiz topuk dikeninin ana sebebidir. Uzun süre koşmak ya da zıplamak gibi fiziksel aktiviteler bağın aşırı yüklenmesine yol açar. Bağ bu kadar yükü kaldıramaz ve yırtılır.
Buna ek olarak, egzersiz planlarındaki değişiklikleri yavaş yavaş yapmamak daha kötü ağrıya neden olabilir.
Koşucular, futbolcular, badminton veya tenis oynayan insanlar en çok risk altındadır.
Ayağın anatomisi
Plantar bağın aşırı yüklenmesinde rol oynayan birkaç anatomik yapı vardır.
Aşil tendonu, genellikle calves kasları olarak bilinen gastroknemius kaslarını ve soleus kaslarını topuk kemiğine bağlayan bir bağdır. Aşil tendonunun geri çekilmesi plantar bağ üzerindeki baskıyı arttırır.

Anatomik yapıda akılda tutulması gereken bir başka faktör ayağın yere basışıdır. Düz taban veya yüksek pronasyona eğilimli ayaklar plantar bağı daha çok uzatır ve dokudaki fazla basınç nedeniyle yırtılma riski artar.
İlgili durumlar
Artrit ve diyabet topuk dikeni için risk faktörleri olarak düşünülür çünkü her ikisi de tendonların enflamasyonuna neden olabilir.
İleri yaştaki insanlar genelde bu iki hastalıktan dolayı topuk dikeni sıkıntısı çekerler.
Ayakkabı tipi
Genelde insanlar kendilerine tam uyan ayakkabıları giymezler. Taban desteksizdir veya ağırlığı etkili bir şekilde dağıtmakta yetersizdir.
Uygun olmayan ayakkabıların sürekli kullanılması plantar bağları kötü etkilerve ayak problemlerine neden olur. Topuk dikeni söz konusu olduğunda kesinlikle yüksek topuklu ayakkabı giymemelisiniz.
Ağrının özellikleri
- Sabahları daha kötü olur
- Kroniktir
- Batan veya yanan bir ağrı görülür
Bazı durumlarda ağrı dayanılmaz bir hale gelir ve hatta falaksları bile etkiler. Ayak parmaklarını yukarı ve aşağı hareket ettirmek gibi hareketleri bile engelleyebilir.

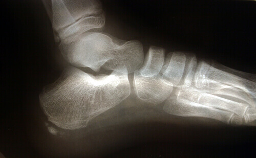
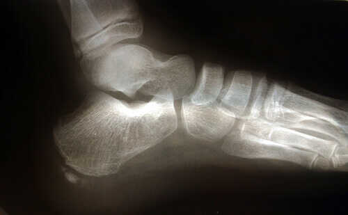
Topuk dikeni sıklıkla kemik çıkıntılarının varlığı ile ilişkilendirilir.
Plantar bağ zaman içinde uzarsa veya doğru tedavi edilmezse kişinin yürüyüşünde değişiklikler görebilir. Bu da diz, sırt veya boyun ağrısı gibi sorunlara yol açabilir.
Topuk dikeni tedavisi
- Fizik tedavi
- NSAID (Non Steroidal Anti-enflamatuvar İlaçlar)
- Uygun ayakkabı
- Kortikosteroidler
- Ortotik
- Fonksiyonel bandaj
- Askı
Topuk dikeni tedavisi sürecinde spora ara vermek çok önemlidir çünkü egzersiz yapmak problemi ağırlaştırmaktadır. Ancak soleus ve gastroknemiusu gün boyu esnetmelisiniz.
Bazı uzmanlar, dinlenirken veya gece boyunca bağı esnek tutabilmek için bir plaka kullanmanızı önermektedir.
Son çare tedavileri, şok dalgası tedavisi ve ameliyatı içerir. İkincisi sadece ciddi, kronik topuk dikeni tedavisi için kullanılır. İyileşme süresi hastadan hastaya değişir.
Ayak gece boyunca sabit durduğundan, ağrı sabahları artma eğilimi göstermektedir. Gün içinde doku esnediği ve ısındığı için ağrı gittikçe azalır.
Topuk dikeni başta amatör sporcular olmak üzere herkesin başına gelebilecek bir sorundur. Yazımızda topuk dikeni tedavisi üstünde duracağız.
Topuk dikeni, ayak plantar şeridinin enflamasyonudur. Bu bağ, topuk kemiğini proksimal falankslarla bağlar ve her adımda lastik bir bant gibi uzar ve büzülür.
Plantar şeridi, muazzam miktarda basıncı ve direnci karşılaması gerektiğinden, çok geniş ve kalın bir dokudur.
Bu bağın enflamasyonu topuk bölgesinde ağrı ile kendini gösterir. Bu, bu bölgedeki ağrının en yaygın sebeplerinden biridir.
İlginizi çekebilir: Topuk Dikeni Ağrısı için Tenis Topu Kullanmak
Risk faktörleri
- Tekrarlı hareketlerle yapılan sporlar
- Yüksek pronasyon
- Artrit veya diyabet gibi durumlar
- Uygunsuz ayakkabı
- Düz taban
- Yaşlanma
- Obezite
- Hormonal değişiklikler
Belirtileri
Plantar kemerinin aşırı kullanımı dokuda mikro-travmalara neden olur. Tekrarlanan küçük yırtılmalar, bağda enflamasyona yol açar, bu da topuk ağrısına neden olur.
Diğer bir deyişle, tek bir gecede ortaya çıkmaması, bunun yerine tekrarlanan yaralanmaların bir sonucu olmasıyla kronik bir sorundur.
Topuk dikeninin sebepleri
Bağın yaralanması birçok farklı nedenden dolayı meydana gelebilir. Çevresel nedenler, duruş bozuklukları ve genetik de dahil olmak üzere birçok faktör topuk dikenine neden olabilir.

Yanlış ayakkabı giyme, kötü duruş, ayakların aşırı kullanımı, ilgili kasların esnek olmayışı ve yanlış yürüme gibi acıyı ciddi derecede ağırlaştıran faktörler de vardır.
Tekrar eden fiziksel aktivite
Aşırı egzersiz topuk dikeninin ana sebebidir. Uzun süre koşmak ya da zıplamak gibi fiziksel aktiviteler bağın aşırı yüklenmesine yol açar. Bağ bu kadar yükü kaldıramaz ve yırtılır.
Buna ek olarak, egzersiz planlarındaki değişiklikleri yavaş yavaş yapmamak daha kötü ağrıya neden olabilir.
Koşucular, futbolcular, badminton veya tenis oynayan insanlar en çok risk altındadır.
Ayağın anatomisi
Plantar bağın aşırı yüklenmesinde rol oynayan birkaç anatomik yapı vardır.
Aşil tendonu, genellikle calves kasları olarak bilinen gastroknemius kaslarını ve soleus kaslarını topuk kemiğine bağlayan bir bağdır. Aşil tendonunun geri çekilmesi plantar bağ üzerindeki baskıyı arttırır.

Anatomik yapıda akılda tutulması gereken bir başka faktör ayağın yere basışıdır. Düz taban veya yüksek pronasyona eğilimli ayaklar plantar bağı daha çok uzatır ve dokudaki fazla basınç nedeniyle yırtılma riski artar.
İlgili durumlar
Artrit ve diyabet topuk dikeni için risk faktörleri olarak düşünülür çünkü her ikisi de tendonların enflamasyonuna neden olabilir.
İleri yaştaki insanlar genelde bu iki hastalıktan dolayı topuk dikeni sıkıntısı çekerler.
Ayakkabı tipi
Genelde insanlar kendilerine tam uyan ayakkabıları giymezler. Taban desteksizdir veya ağırlığı etkili bir şekilde dağıtmakta yetersizdir.
Uygun olmayan ayakkabıların sürekli kullanılması plantar bağları kötü etkilerve ayak problemlerine neden olur. Topuk dikeni söz konusu olduğunda kesinlikle yüksek topuklu ayakkabı giymemelisiniz.
Ağrının özellikleri
- Sabahları daha kötü olur
- Kroniktir
- Batan veya yanan bir ağrı görülür
Bazı durumlarda ağrı dayanılmaz bir hale gelir ve hatta falaksları bile etkiler. Ayak parmaklarını yukarı ve aşağı hareket ettirmek gibi hareketleri bile engelleyebilir.

Topuk dikeni sıklıkla kemik çıkıntılarının varlığı ile ilişkilendirilir.
Plantar bağ zaman içinde uzarsa veya doğru tedavi edilmezse kişinin yürüyüşünde değişiklikler görebilir. Bu da diz, sırt veya boyun ağrısı gibi sorunlara yol açabilir.
Topuk dikeni tedavisi
- Fizik tedavi
- NSAID (Non Steroidal Anti-enflamatuvar İlaçlar)
- Uygun ayakkabı
- Kortikosteroidler
- Ortotik
- Fonksiyonel bandaj
- Askı
Topuk dikeni tedavisi sürecinde spora ara vermek çok önemlidir çünkü egzersiz yapmak problemi ağırlaştırmaktadır. Ancak soleus ve gastroknemiusu gün boyu esnetmelisiniz.
Bazı uzmanlar, dinlenirken veya gece boyunca bağı esnek tutabilmek için bir plaka kullanmanızı önermektedir.
Son çare tedavileri, şok dalgası tedavisi ve ameliyatı içerir. İkincisi sadece ciddi, kronik topuk dikeni tedavisi için kullanılır. İyileşme süresi hastadan hastaya değişir.
Ayak gece boyunca sabit durduğundan, ağrı sabahları artma eğilimi göstermektedir. Gün içinde doku esnediği ve ısındığı için ağrı gittikçe azalır.
Bu metin yalnızca bilgilendirme amaçlı sunulmuştur ve bir profesyonelle görüşmeyi yerine geçmez. Şüpheleriniz varsa, uzmanınıza danışın.







