Perikardiyal Efüzyon Hangi Testler Tarafından Tespit Edilebilir?

Perikardiyal efüzyon, kalp ile perikard arasında aşırı sıvı birikiminin yaşandığı bir durumdur. Perikard, kalbi örten kesedir. Sıvı 50 ml’yi aştığında efüzyon gerçekleştiği tahmin edilmektedir. Peki perikardiyal efüzyon nasıl tespit edilebilir?
Kalp ve kalp zarı arasında her zaman ince bir sıvı tabakası vardır. Ancak, bir hastalığınız ya da sakatlığınız olduğunda bu sıvı iltihaplanabilir. Bu da sıvının miktarını artırır. Buna rağmen, bazen önceden iltihaplanma olmadan da perikardiyal efüzyon yaşayabilirsiniz.
Perikardiyal efüzyon kalbe baskı yapar ve kalbin çalışma şeklini etkiler. Eğer tedavi edilmezse, kalp yetmezliğine ve ölüme neden olabilir. Perikardiyal efüzyonu tespit eden analizler hakkında bilgi edinmek için bu yazımızı okuyabilirsiniz.
Perikardiyal Efüzyon Tespiti İçin Yollar
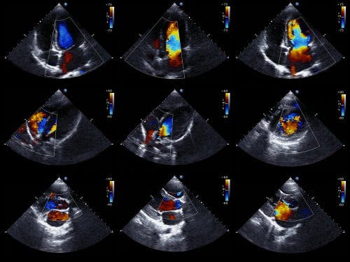
Ekokardiyogram

Ekokardiyogram, perikardiyal efüzyon varlığını saptamak için tercih edilen testtir. Aynı zamanda ekokardiyografi ya da kalp ultrasonu olarak da adlandırılır ve doktorların kalbin yapısını görmesine ve kan pompalama yeteneğini incelemesine izin veren bir testtir.
Ayrıca Doppler ekokardiyogramı da doktorların kalpten kan akışının tam hızını belirlemesine olanak tanır. Teknik bir açıdan bakıldığımda, iki boyutlu ve M-mod ekokardiyogram, perikardiyal efüzyon varlığını teşhis etmek, ölçmek ve takip etmek için ideal bir tekniktir.
Epikardiyum ve lateral perikardiyum arasında eko yokluğunun bulunması, doktorların perikardiyal efüzyon teşhisi koymasına olanak tanır. Daha sonra kardiyolog, perikardın iki katmanı arasındaki boşluk miktarına göre efüzyonun boyutunu belirler.
Temelde iki tür ekokardiyogram olduğunu da söylemeliyiz. Göğse, kalbin üzerine denk gelecek şekilde bir cihazın yerleştirildiği ve ses çıkardığı transtorasik ekokardiyogram vardır. Ve cihazın sindirim sistemine, yemek borusuna kadar yerleştirildiği transözofageal ekokardiyogram vardır. İkincisi, daha ayrıntılı veriler sağlar.
Bunu da keşfedin: Akut Koroner Sendrom (AKS)
Elektrokardiyogram
Bir elektrokardiyogram, kalbin elektriksel aktivitesini kaydeder. Temel olarak, doktorların ritmi ve kalp fonksiyonunu değerlendirmesine izin verir. Perikardiyal efüzyon, grafikte değişikliklere neden olur, ancak bu değişiklikler spesifik değildir.
Genel olarak, doktorlar QRS kompleksinde belirli anormallikleri görebilirler. Bu, ventrikül hücrelerinde meydana gelen tüm elektriksel deşarjların toplamını yansıtan bir vektördür. Genel olarak, perikardiyal efüzyon olduğunda, doktorlar QRS voltajında bir düşüş görebilir.
Benzer şekilde, bu durumlarda T dalgalarının düzleştiğini de gözlemleyebilirler. Efüzyon çok şiddetliyse ve tıkanma varsa, elektriksel bir değişim gözlemleyebilirler. Tipik olarak, P dalgası geniş ve iki modlu görünür ve bir anormalliğe işaret eder.
Bu yazımızı da okuyun: Konjenital Kalp Hastalığının Özellikleri
Göğüs Röntgeni, CAT Taraması ve MRI

Göğüs radyografisi, doktorların göğüs bölgesindeki tüm organları görmesini sağlayan bir röntgen görüntüsüdür. Bilgisayarlı tomografi ya da bir CAT taraması da x-ışınları kullanan ve doktorların görüntüleri enine kesitler şeklinde ya da üç boyutlu olarak almasına izin veren bir testtir.
Manyetik rezonans görüntüleme (MRI) ise, doktorların vücudun iç kısmının iki ya da üç boyutlu ayrıntılı görüntülerini aldığı bir incelemedir. Röntgen ya da CAT taramasından çok daha spesifik bilgiler sağlar.
Perikardiyal efüzyon gerçekleştiğinde, kalp silüetinde bu testlerden birinin ya da tamamının tespit edebileceği bir değişiklik olur. Genellikle perikardiyal kesede 250 ml’den fazla sıvı biriktiğinde bu siluet genişler.
Ancak, sadece 50 ml’den fazla söz konusu olduğunda da perikardiyal efüzyon varlığından bahsedilebilir. Bu nedenle, örneğin bir göğüs röntgeni, anormallik olsa bile genişlemiş silueti göstermez. CAT taramaları ve MRI’lar çok daha kesindir.
Perikardiyal Efüzyon Ölçümü
Perikardiyal efüzyonların hacmini ölçmek için evrensel olarak kabul edilmiş bir kriter yoktur. Bunun nedeni, perikardiyal kesedeki gerçek sıvı miktarını belirlemede tüm yöntemlerin sınırlamaları olmasıdır.
Ölçüm için en çok kabul gören teknik, Weitzman tarafından önerilen tekniktir. M-mod ekokardiyografiye dayalıdır. Diyastolün sonunda ön ve arka keselerde ekosuz boşlukların eklenmesini önerir. Toplam 10 mm ya da daha az olduğunda buna hafif bir efüzyon denir; orta, 10 ile 19 mm arasındadır ve 20 mm ya da daha fazla olduğunda şiddetli olarak tanımlanır.
Tanı koymadan önce kalp tümörlerinin ve perikardiyal kistlerin varlığını elemek önemlidir. Benzer şekilde, doktorlar plevral efüzyon ya da epikardiyal yağ olmadığını da doğrulamalıdır.
Perikardiyal efüzyon, kalp ile perikard arasında aşırı sıvı birikiminin yaşandığı bir durumdur. Perikard, kalbi örten kesedir. Sıvı 50 ml’yi aştığında efüzyon gerçekleştiği tahmin edilmektedir. Peki perikardiyal efüzyon nasıl tespit edilebilir?
Kalp ve kalp zarı arasında her zaman ince bir sıvı tabakası vardır. Ancak, bir hastalığınız ya da sakatlığınız olduğunda bu sıvı iltihaplanabilir. Bu da sıvının miktarını artırır. Buna rağmen, bazen önceden iltihaplanma olmadan da perikardiyal efüzyon yaşayabilirsiniz.
Perikardiyal efüzyon kalbe baskı yapar ve kalbin çalışma şeklini etkiler. Eğer tedavi edilmezse, kalp yetmezliğine ve ölüme neden olabilir. Perikardiyal efüzyonu tespit eden analizler hakkında bilgi edinmek için bu yazımızı okuyabilirsiniz.
Perikardiyal Efüzyon Tespiti İçin Yollar
Ekokardiyogram

Ekokardiyogram, perikardiyal efüzyon varlığını saptamak için tercih edilen testtir. Aynı zamanda ekokardiyografi ya da kalp ultrasonu olarak da adlandırılır ve doktorların kalbin yapısını görmesine ve kan pompalama yeteneğini incelemesine izin veren bir testtir.
Ayrıca Doppler ekokardiyogramı da doktorların kalpten kan akışının tam hızını belirlemesine olanak tanır. Teknik bir açıdan bakıldığımda, iki boyutlu ve M-mod ekokardiyogram, perikardiyal efüzyon varlığını teşhis etmek, ölçmek ve takip etmek için ideal bir tekniktir.
Epikardiyum ve lateral perikardiyum arasında eko yokluğunun bulunması, doktorların perikardiyal efüzyon teşhisi koymasına olanak tanır. Daha sonra kardiyolog, perikardın iki katmanı arasındaki boşluk miktarına göre efüzyonun boyutunu belirler.
Temelde iki tür ekokardiyogram olduğunu da söylemeliyiz. Göğse, kalbin üzerine denk gelecek şekilde bir cihazın yerleştirildiği ve ses çıkardığı transtorasik ekokardiyogram vardır. Ve cihazın sindirim sistemine, yemek borusuna kadar yerleştirildiği transözofageal ekokardiyogram vardır. İkincisi, daha ayrıntılı veriler sağlar.
Bunu da keşfedin: Akut Koroner Sendrom (AKS)
Elektrokardiyogram
Bir elektrokardiyogram, kalbin elektriksel aktivitesini kaydeder. Temel olarak, doktorların ritmi ve kalp fonksiyonunu değerlendirmesine izin verir. Perikardiyal efüzyon, grafikte değişikliklere neden olur, ancak bu değişiklikler spesifik değildir.
Genel olarak, doktorlar QRS kompleksinde belirli anormallikleri görebilirler. Bu, ventrikül hücrelerinde meydana gelen tüm elektriksel deşarjların toplamını yansıtan bir vektördür. Genel olarak, perikardiyal efüzyon olduğunda, doktorlar QRS voltajında bir düşüş görebilir.
Benzer şekilde, bu durumlarda T dalgalarının düzleştiğini de gözlemleyebilirler. Efüzyon çok şiddetliyse ve tıkanma varsa, elektriksel bir değişim gözlemleyebilirler. Tipik olarak, P dalgası geniş ve iki modlu görünür ve bir anormalliğe işaret eder.
Bu yazımızı da okuyun: Konjenital Kalp Hastalığının Özellikleri
Göğüs Röntgeni, CAT Taraması ve MRI

Göğüs radyografisi, doktorların göğüs bölgesindeki tüm organları görmesini sağlayan bir röntgen görüntüsüdür. Bilgisayarlı tomografi ya da bir CAT taraması da x-ışınları kullanan ve doktorların görüntüleri enine kesitler şeklinde ya da üç boyutlu olarak almasına izin veren bir testtir.
Manyetik rezonans görüntüleme (MRI) ise, doktorların vücudun iç kısmının iki ya da üç boyutlu ayrıntılı görüntülerini aldığı bir incelemedir. Röntgen ya da CAT taramasından çok daha spesifik bilgiler sağlar.
Perikardiyal efüzyon gerçekleştiğinde, kalp silüetinde bu testlerden birinin ya da tamamının tespit edebileceği bir değişiklik olur. Genellikle perikardiyal kesede 250 ml’den fazla sıvı biriktiğinde bu siluet genişler.
Ancak, sadece 50 ml’den fazla söz konusu olduğunda da perikardiyal efüzyon varlığından bahsedilebilir. Bu nedenle, örneğin bir göğüs röntgeni, anormallik olsa bile genişlemiş silueti göstermez. CAT taramaları ve MRI’lar çok daha kesindir.
Perikardiyal Efüzyon Ölçümü
Perikardiyal efüzyonların hacmini ölçmek için evrensel olarak kabul edilmiş bir kriter yoktur. Bunun nedeni, perikardiyal kesedeki gerçek sıvı miktarını belirlemede tüm yöntemlerin sınırlamaları olmasıdır.
Ölçüm için en çok kabul gören teknik, Weitzman tarafından önerilen tekniktir. M-mod ekokardiyografiye dayalıdır. Diyastolün sonunda ön ve arka keselerde ekosuz boşlukların eklenmesini önerir. Toplam 10 mm ya da daha az olduğunda buna hafif bir efüzyon denir; orta, 10 ile 19 mm arasındadır ve 20 mm ya da daha fazla olduğunda şiddetli olarak tanımlanır.
Tanı koymadan önce kalp tümörlerinin ve perikardiyal kistlerin varlığını elemek önemlidir. Benzer şekilde, doktorlar plevral efüzyon ya da epikardiyal yağ olmadığını da doğrulamalıdır.
Tüm alıntı yapılan kaynaklar, kalitelerini, güvenilirliklerini, güncelliklerini ve geçerliliklerini sağlamak için ekibimiz tarafından derinlemesine incelendi. Bu makalenin bibliyografisi güvenilir ve akademik veya bilimsel doğruluğa sahip olarak kabul edildi.
- Martín-García, A. C., Peláez, E. D., Martín-García, A., & Sánchez, P. L. (2017). Derrame pericárdico. Taponamiento cardíaco. Medicine-Programa de Formación Médica Continuada Acreditado, 12(44), 2621-2628.
- Sociedad Española de Imagen Cardíaca. Complejo QRS. https://ecocardio.com/documentos/biblioteca-preguntas-basicas/preguntas-al-cardiologo/1046-complejo-qrs.html
- MedlinePlus. Ecocardiografía. https://medlineplus.gov/spanish/ency/article/003869.htm
- MedlinePlus. Trastornos del pericardio. https://medlineplus.gov/spanish/pericardialdisorders.html
- MedlinePlus. Electrocardiograma.https://medlineplus.gov/spanish/pruebas-de-laboratorio/electrocardiograma/
- National Heart, Lung and Blood Institute. Radiografía de tórax. https://www.nhlbi.nih.gov/health-topics/espanol/radiografia-de-torax
Bu metin yalnızca bilgilendirme amaçlı sunulmuştur ve bir profesyonelle görüşmeyi yerine geçmez. Şüpheleriniz varsa, uzmanınıza danışın.







